Les traitements orthodontiques : différentes thérapeutiques

  • Que ce soit au sujet d’un traitement en particulier (comme par exemple un traitement Invisalign chez un patient adulte),
  • Ou bien pour aborder des cas généraux (comme la pose de la contention en fin de traitement),

cette section essaie de vous apporter le plus d’information possible sur les possibilités thérapeutiques de l’orthopédie dento-faciale, vues par le Dr Issembert, orthodontiste à Paris.

Guide sur la supraclusion ou recouvrement

Le recouvrement, aussi appelé supraclusion ou encore surplomb antérieur, c'est quand les dents du haut recouvrent celles du bas. Que faire pour le corriger ?

Une chirurgie ? De l’orthodontie ? Les 2 ? Un traitement avec des gouttières Invisalign est-il envisageable ?

Explications du Dr Issembert, spécialiste de l'orthodontie invisible à Paris, avec photos avant et après traitement.

 

0 commentaire(s)

Lire l'article

Guide sur l’articulé croisé et la prognathie

Prognathe, prognathisme, qu'est-ce que ça veut dire ? Est-ce héréditaire ? Peut-on soigner la prognathie sans chirurgie ? Et à quel âge... ?

Explications et exemples de patients avant et après traitement d'orthodontie pour articulé-croisé.

 

2 commentaire(s)

Lire l'article

Guide sur la béance dentaire ou infraclusion

La béance dentaire, de quoi s'agit-il ? Quelles sont les causes ?

Comment faire pour la corriger, que l'on soit un adulte ou un enfant ?  Peut-on utiliser un traitement Invisalign ? Un traitement lingual ?

Explications et présentation de différents cas avec photos avant et après traitement d'orthodontie, au cabinet d'orthodontie du Dr Issembert à Paris.

12 commentaire(s)

Lire l'article

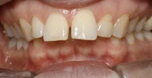
Guide sur les dents du bonheur (espace interincisif)

Les dents du bonheur, un joli nom pour désigner l'espace entre les incisives sur le maxillaire.

Certaines personnes en font un atout de séduction, d'autres en sont très complexées et n'osent plus sourire.

Comment les traiter ? Explications par le Dr Issembert, orthodontiste à Paris.

0 commentaire(s)

Lire l'article

Qu’est-ce que Invisalign First (Invisalign Teen)

Invisalign est tout à fait adapté aux adultes qui souhaitent réaliser un traitement d'orthodontie invisible.

Mais saviez-vous que les enfants et les adolescents peuvent eux-aussi bénéficier d'Invisalign ? Et ce dès l’âge de 7 ans ?

Cet article vous présente ces traitements d'orthodontie par gouttières transparentes dédiés aux plus jeunes.

4 commentaire(s)

Lire l'article

Q&A 2/3 : Orthodontie et implants, dents de sagesse, articulé-croisé !

Questions fréquentes sur Invisalign :

  • Possible avec un implant ? Avec des dents de sagesse ?
  • Traitement le plus rapide : Invisalign ou bagues ?
  • Les taquets, c'est quoi ?

Le Dr Issembert, spécialiste de cette technique orthodontique par gouttières invisibles - plus de 500 cas traités par an - répond à toutes ces questions.

22 commentaire(s)

Lire l'article

Invisalign, est-ce que ça va marcher pour moi ?

  • Vous rêvez d'un nouveau sourire ?
  • Vous souhaitez améliorer votre mastication ?
  • Vous avez peur d'être gêné par un appareillage visible ?

Invisalign est le traitement orthodontique idéal. Mais fonctionnera-t-il dans votre cas ?

Pour tout savoir avec les explications du Docteur Issembert.

54 commentaire(s)

Lire l'article

L’avis d’une patiente du Docteur Issembert à Paris

Maria, 27 ans, est patiente au cabinet depuis décembre 2018.

Elle vient tout juste de finir son traitement et nous donne son avis à la suite de son traitement d'orthodontie avec Invisalign.

En espérant que cet avis vous aidera à mieux appréhender les tenants et les aboutissants classiques lorsqu'on se lance dans l'orthodontie à l'âge adulte :)

 

0 commentaire(s)

Lire l'article

L’orthodontie invisible pour les adolescents, enfin une réalité ?

Il n’est pas toujours facile d’être adolescent : l'image de soi, le regard des autres... la perspective de porter un appareil orthodontie est rarement vue comme une bonne nouvelle !

En effet, les attaches en métal - appelées communément bagues en métal - sont souvent difficiles à porter et l'adolescent peut rapidement prendre en grippe cet appareil bien visible au milieu du visage.

Pour autant, pas question de faire l’impasse sur le traitement !

9 commentaire(s)

Lire l'article

Invisalign ou Lingual, quel traitement choisir ?

Adulte, vous souhaitez corriger votre sourire avec un traitement d'orthodontie ?
Excellente idée !

Mais pour quel traitement opter ? Un Invisalign ? Un lingual ? Des bagues céramiques ?

Nous sommes spécialistes de l'orthodontie invisible :  nous vous présentons ici les informations importantes à considérer avant de vous lancer.

9 commentaire(s)

Lire l'article

Les motivations à l’origine d’une chirurgie de la mâchoire ? 6 cas courants traités au cabinet d’orthodontie à Paris

De nombreuses raisons peuvent vous pousser à vous orienter vers une chirurgie en parallèle d’un traitement d’orthodontie.

Quelles sont les principales raisons qui peuvent pousser un patient à opter pour une chirurgie ? Comment se déroule ce type de traitement ?

Voici 6 exemples illustrés des traitements avec chirurgie les plus courants.

93 commentaire(s)

Lire l'article

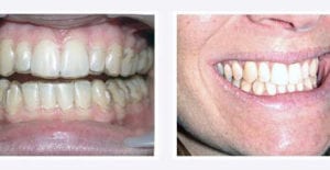
Invisalign avant / après : 3 exemples de traitements avec gouttières transparentes réalisés au cabinet d’orthodontie à Paris

L'orthodontie peut être quasi-invisible lorsqu'elle est réalisée à l'aide d'un traitement Invisalign, c'est-à-dire avec des gouttières transparentes quasi invisibles.

les gouttières Invisalign sont réalisées dans un matériel breveté, résistant et souple à la fois : les gouttières allient ainsi la discrétion à l'efficacité du traitement d’orthodontie. 

Mais comment cela fonctionne-t-il exactement ?

Voici 3 exemples de patients traités à l'aide de traitement Invisalign bien comprendre.

116 commentaire(s)

Lire l'article

Jamais trop tard pour un sourire parfait (grâce à l’orthodontie adulte) ! Interview du Dr Issembert sur France Télévision

Un sourire de star à l'âge adulte ? Oui, c'est possible à l'aide d'un traitement orthodontique !

Voici une enquête réalisée sur France Télévision, assortie d'une interview du Dr Issembert, ainsi que quelques informations sur le parcours de soins et les traitements réalisés à notre cabinet d'orthodontie à Paris.

 

10 commentaire(s)

Lire l'article

L’orthodontie chez l’enfant : à quel âge ? Les explications du Docteur David Issembert, orthodontiste à Paris 8ème

Nous recevons régulièrement des enfants très jeunes, adressés par leur chirurgien-dentiste... ce n'est pourtant pas une fatalité !

La majeure partie des jeunes patients qui viennent consulter ont entre 8 et 10 ans

Quelques explications du Docteur Issembert.

 

5 commentaire(s)

Lire l'article

A quoi sert la contention en orthodontie ? Toutes les explications du Dr Issembert

Beaucoup de patients nous interrogent au sujet de la contention en orthodontie.

Qu'est-ce c'est ? A quoi ça sert ? Combien de temps...?

Voici un article complet réalisé avec le Docteur Issembert afin de répondre aux principales questions et expliquer le fonctionnement de la contention telle que nous la pratiquons au cabinet d'orthodontie à Paris.

100 commentaire(s)

Lire l'article

Envie de faire un traitement d’orthodontie linguale à Paris ? 5 points à connaître et témoignage d’un patient !

  • Vous êtes adulte et n'aimez pas votre sourire ?
  • Vous vous renseignez sur les différents traitements orthodontiques envisageables ?
  • Vous entendez beaucoup de choses mais vous aimeriez avoir un retour concret sur la question ?

Voici quelques explications sur l'orthodontie linguale ainsi que l'avis d'un patient après traitement.

0 commentaire(s)

Lire l'article

L’orthodontie n’est pas réservée aux enfants : 5 raisons pour lesquelles les adultes se lancent dans un traitement (explications et conseils du Dr Issembert)

Vous souhaitez améliorer votre sourire ? Vos dents ont bougé depuis votre traitement ? Vous n’avez simplement jamais eu le temps ni l’occasion de suivre un traitement d’orthodontie ?

Réjouissez-vous : peu importe votre âge, il n'est jamais trop tard pour améliorer votre santé dentaire et embellir votre sourire.

4 commentaire(s)

Lire l'article

L’orthodontie linguale : historique, développement en France (et Ile-de-France) et les zones où trouver les orthodontistes

Un article pour vous présenter l'avènement de l'orthodontie linguale dans le monde :

  • les différents pionniers,
  • les 1ères techniques et balbutiements de 1970,
  • les nouvelles techniques apparues en France...

... jusqu'au confort indéniable en 2018 !

3 commentaire(s)

Lire l'article

Décalage entre mâchoire inférieure et supérieure : 2 cas traités différemment en orthodontie

Voici 2 cas traités différemment en orthodontie pour le même problème : le décalage entre les mâchoires.

Ici, le point commun entre les 2 patients est la mâchoire du bas trop en retrait par rapport à la mâchoire du haut (c'est-à-dire la quantité importante de surplomb). 

Nous vous expliquons les 2 traitements orthodontiques proposés. 

109 commentaire(s)

Lire l'article

Orthodontie préprothétique : étude de cas avant implant

Voici un exemple de traitement ortho-prothétique : les compétences d’un orthodontiste et d’un chirurgien dentiste sont utilisées conjointement.

Quelques explications sur le traitement réalisé afin d'améliorer un sourire disgracieux (il y avait une dent manquante sur la mâchoire supérieure, l'incisive latérale gauche).

4 commentaire(s)

Lire l'article

Prognathe, rétrognathe… que peut faire l’orthodontie ?

Les personnes avec un profil prognathe, de quoi s'agit-il ? Que peut faire l'orthodontie ? 2 exemples de patients traités en orthodontie.

147 commentaire(s)

Lire l'article

Vidéo de la pose d’un appareil lingual

Nos patients adultes s'interrogent souvent sur la mise en place et le fonctionnement d'un appareil lingual. Une animation claire pour tout comprendre sur sa mise en place et son fonctionnement.

0 commentaire(s)

Lire l'article

Appareil dentaire lingual/Invisalign ? L’orthodontie adulte sur France 2

« Appareils dentaires : pour les adultes aussi ! », une émission diffusée sur France 2 que nous avons choisi de partager avec vous.

0 commentaire(s)

Lire l'article

Orthodontie et chirurgie : cas concret chez un patient adulte

Voici un cas pour lequel il a été nécessaire d'effectuer de la chirurgie en plus du traitement orthodontique.
Explications du protocole de traitement.

19 commentaire(s)

Lire l'article

L’orthodontie chez l’adulte : un exemple de traitement Invisalign

Un exemple de traitement Invisalign sur un adulte, vidéo à l'appui.
La patiente, âgée de 26 ans lors de la 1ère consultation, est venue consulter car elle estimait avoir un sourire disgracieux.

2 commentaire(s)

Lire l'article