Prognathe, rétrognathe… que peut faire l’orthodontie ?
Classiquement, on pense à la prognathie mandibulaire, c’est-à-dire une personne avec le menton en avant.
Prognathe, signifie pourtant « mâchoire en avant ». De même, rétrognathe veut dire « mâchoire en arrière ».
Comment devient-on prognathe (ou rétrognathe) ?
La prognathie vraie est d’origine génétique : on retrouve la même déformation chez d’autres membres de la famille.
On n’a que peu d’action, dans ce cas, sur le différentiel de croissance entre le maxillaire (mâchoire supérieure) et la mandibule (mâchoire inférieure).
On doit donc s’y prendre tôt afin d’obtenir le maximum de résultats.
Si l’origine du problème est fonctionnelle, c’est l’arcade alvéolaire – qui porte les dents – qui est déformée et beaucoup moins la partie squelettique.
On parle alors de proalvéolie ou de rétroalvéolie, associée ou non à une prognathie ou rétrognathie.
Exemples de problèmes fonctionnels
- la succion du pouce chez les enfants
- une déglutition atypique
- une mauvaise prononciation (zozottement)
- etc.
L’orthodontie, pour quoi faire ?
En préambule, il est important de préciser que tous les patients présentant un problème d’ordre fonctionnel devront être vus et corrigés par un orthophoniste.
En effet, si ce n’est pas le cas, la récidive sera immédiate après le retrait de l’appareil orthodontique.
D’autre part, si le problème est d’ordre squelettique, il sera beaucoup plus difficile à corriger. La chirurgie devra donc être envisagée.
Quoi qu’il en soit, à l’âge adulte, l’orthodontie ne pourra corriger les décalages squelettiques : seule la chirurgie y parvient.
C’est également le cas en cas de décalages alvéolaires importants chez l’adulte.
Préconisations pour les enfants
Il est préférable de consulter tôt : l’appareillage orthodontique pourra en effet freiner la mâchoire trop importante, et stimuler l’autre.

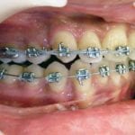
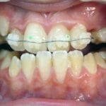
Prognatie mandibulaire (mâchoire inférieure en avant) sur une jeune patiente : le traitement orthodontique mis en place
Par ailleurs, lorsque la croissance est plus avancée, l’orthodontie n’aura plus beaucoup d’action sur ce genre de problème.
Préconisation pour les adultes
Chez les patients adultes, les dents se sont probablement inclinées sur les arcades alvéolaires pour masquer le problème (et permettre une mastication correcte par exemple).
Grâce aux radios effectuées, le praticien va pouvoir déterminer la bonne position que les dents doivent avoir sur leur base osseuse :
- L’orthodontiste remettra les dents correctement sur leur bases osseuses
- Le chirurgien remettra ensuite les 2 bases osseuses en face.
On parle dans ces cas-là d’orthodontie pré-chirurgicale.
2 exemples traités en orthodontie
Voici 2 patients traités en orthodontie, avec quelques photos pour illustrer.
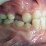
1- Proalvéolie maxillaire importante
Cette jeune fille est venue nous consulter vers 15 ans, elle présentait une proalvéolie très importante, c’est-à-dire la mâchoire du haut très avancée par rapport à celle du bas.
En l’absence de croissance, nous avons extrait les prémolaires maxillaires gauche et droite. Nous avons ensuite reculé le secteur antérieur maxillaire dans l’espace d’extraction, jusqu’à ce que les incisives supérieures soient en contact avec les incisives inférieures.
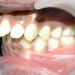
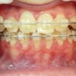
2- Prognathie mandibulaire
Cette très jeune fille est venue nous consulter vers 8 ans, elle présentait une prognathie mandibulaire, avec un manque de matière osseuse sur la mâchoire supérieure.
Nous avons appareillé le maxillaire (mâchoire supérieure) et l’avons stimulé pour un développement maximum.
Le but était de repositionner les incisives maxillaires en avant des incisives mandibulaires, afin que la croissance se développe de la façon la plus harmonieuse possible.
Cette jeune fille devra être surveillée vers 12-13 ans – âge du pic de croissance chez les filles – puisque tout sera remis en question, du fait de croissance mandibulaire importante par rapport à celle du maxillaire, faible.
Nous avons également rédigé un article présentant 2 traitements orthodontiques pour traiter des décalages entre mâchoire inférieure et supérieure, n’hésitez pas à le consulter.
Et bien sûr, n’hésitez pas à nous contacter ou à prendre rdv pour tout complément d’information :
Prendre RDV en lignePar Cabinet d'Orthodontie,le 12 novembre 2015
















Mon fils à 15 de demie on le dit qu’il une rétropathie on me dit que l’opération est obligatoire et je m’inquiète car il doit se faire opérer du nez je m’inquiète aidez moi
Bonjour,
Si votre fils est rétrognathe, cela signifie qu’il a la mâchoire inférieure en retrait, ce qui provoque en général un décalage entre les dents du haut et du bas (appelé surplomb).
La correction de ce surplomb est essentielle pour la stabilité du traitement.
Certains décalages importants nécessitent en effet une chirurgie orthognatique d’avancement de la mâchoire du bas. Cette chirurgie n’est pas douloureuse en soi. Les suites post-opératoires sont un gonflement important pendant 7 à 15 jours mais pas plus.
D’autres types de décalage moins importants peuvent être gérés avec des élastiques.
Je vous conseille de discuter avec votre orthodontiste de toutes les solutions possibles, n’hésitez pas à prendre rendez-vous à notre cabinet d’orthodontie.
L’opération du nez – rhinoplastie ou septoplastie? – est indépendante de tout cela.
Bien à vous
bonjour, mon fils de 13 ans a un décalage de 12 mm entre les dents du bas et celle du haut. C’est la machoire du haut qui est trop en avant. On me dit que seule l’opération permettra un résultat correct car l’écart est trop grand, qu’en pensez-vous? merci de votre aide
Bonjour,
En effet un « décalage » de 12 mm est important et semble relever d’une indication chirurgicale associée à l’orthodontie.
Rassurez-vous quant à la chirurgie orthognatique : ce n’est pas une opération douloureuse en soi, seules les suites post-opératoires sont un peu pénibles car on est assez gonflé pendant 7 à 15 jours.
Néanmoins, n’hésitez pas à demander à votre orthodontiste si une solution alternative dite de compromis n’est pas possible.
Bien à vous,
Bonjour j’ai 17 ans et je cherche pertinemment à savoir si mon cas est normal ou pas . Je me suis faites extraire 3 dents de sagesses il y a un plus d’une semaine . Suite à mon opération , je me retrouve maintenant avec la machoire supérieure en avant . Dois-je m’en inquiéter ? Bien en entendu ma mère me dit de ne pas l’être que c’est normal… mais elle n’est pas chirurgien dentiste . Je me retrouve donc dans l’inconfort : du mal à mastiquer normalement , problèmes de prononciation et le sourire bien évidemment qui est mit à l’épreuve. Je tiens à préciser que tout le reste va bien, je n’ai plus mal au gencives, mes joues ne sont plus gonflées. Tout est en ordre , sauf ça. Je vais bien entendu prendre contact avec mon chirurgien dentiste. Mais en attendant je volais avoir votre avis .
Merci de votre attention et de votre compréhension
Bonjour,
Il n’y a aucune raison pour que 3 extractions de dents de sagesse modifient la position de votre maxillaire…
Je vous invite à consulter votre praticien.
Bien cordialement,
Dr Issembert
Bonjour. Je viens d’apprendre à 27 ans que j’ai une retrognathie mandibulaire 3-4mm, l’orthodontiste que je viens de consulter m’envoie vers une opération de la mâchoire. N’y a t-il pas d’autre alternative pour réduire ce phénomène qu’une opération? Il me semble que 3-4mm ne sont pas si excessifs. Merci de votre réponse, (je vous avouerai être terrifiée par une opération de ce type).
Bonjour,
Votre question est très intéressante et je vous en remercie. Un surplomb (ou décalage) de 3 à 4 mm peut en effet nécessiter une chirurgie d’avancement mandibulaire.
Je conçois que cela puisse faire peur mais le plus impressionnant dans cette intervention est le gonflement bénin (ou oedème) qui survient dans les 15 jours suivant l’intervention.
La correction du décalage permet d’assurer une stabilité complète du traitement.
Néanmoins, dans certains cas, un compromis permettant de réduire le surplomb et conduisant à accepter un surplomb résiduel permettant de garantir la stabilité à l’aide de fils de contention est possible.
Impossible cependant de vous dire précisément ce qu’il en est dans votre cas sans vous voir en consultation.
Bien cordialement,
Bonjour
J’ai 59 ans ,je suis prognathe 3,mon dentiste me conseille une ostéotomie maxillaire afin d’éviter de futurs problèmes . Cela ne m’a jusqu’à présent jamais gêné pour mastiquer,je n’ai pas de dents déchaussées,ni de grincements de dents nocturnes.Le souci est plus esthétique( de profil) à mon sens…
Je crains que les inconvénients sur le long terme ne soient plus importants que les bénéfices,entre autre: douleurs, mâchoire asymétrique,problèmes de mastication.J’appréhende beaucoup la douleur liée à l’opération .
Pensez-vous qu’à 59 ans les risques et surtout les résultats en vaille la peine ?
Merci bien pour votre réponse;
Cordialement
Bonjour,
Je me dois tout d’abord de vous dire qu’il est très difficile de répondre à votre question sans vous voir en consultation au préalable.
Néanmoins, voici quelques éléments qui j’espère vous aideront:
Bien cordialement,
Dr Issembert
Bonjour. J ai 36 ans et après avoir eu une dent cassee a cause d une grosse carrie (celle en bas à droite tt au fond la 47) j ai ressenti de l inconfort car au fil des jours je n arrive plus à serrer mes dents normalement… je precise que ma dent cassee n a pas enrore ete soignee depuis 3 mois car apres devitalisation je souffre encore et je dois aller voir un specialiste équipé d un microscope… mnt mes dents du fond se claquent parfois entre elles et j ai une gêne pour manger… pareil quand je dors mes dents du fond se pressent entre elles et parfois j ai mal aux dents quand jme lève ou mme aussi dans la journée. Mon occlusion ne se fait plus correctement et mes dents de devant en haut commencent a se mettre de travers. Celles du bas s ecartent et ma machoire du bas a avance deja d au moins 1 mm en peu de temps. Ma dentiste parle d une récidive de niveau 3… j ai été traitée à 9 ans pour une prognathie et un alignement. Mon appareil à été retiré à mes 16 ans et je n ai pas eu de complications sauf jusqu a il y a 3 mois après ma dent cassée et carriee qui laisse place a un espace important… Pouvez vous me dire quoi faire pour éviter que cela ne s à grave? Et quelles solutions peuvent corriger cela définitivement ? Merci d avance
Bonjour,
Je vous remercie pour votre message mais ne pense sincèrement pas pouvoir y apporter une réponse en l’état.
En effet, il faut distinguer l’inconfort lié à la carie et aux soins qui ont suivi sur votre 47 du problème que vous rencontrez apparemment lié à une Classe III squelettique… Vraiment, il me faut vous voir en consultation pour vous apporter une réponse précise.
Bien cordialement,
Dr Issembert
Bonjour!
J’ai 22 ans, et vers l’âge de 13 ans j’ai dû porter un appareil dentaire (des bagues) pour corriger ma rétrognathie. Après l’avoir enlevé, mon orthodontiste m’a dit que je devais porter un appareil de contention (faux palais) d’abord tous les soirs, puis à des intervalles de plus en plus large, pour au final ne plus le porter du tout. Dix ans après, je continue certains soirs à porter cet appareil de contention, mais j’ai très fortement l’impression que ma machoire recule de nouveau.
Est-ce normal? Dois-je obligatoirement avoir recours à la chirurgie?
Merci de votre réponse,
Bonjour,
Normalement le protocole de contention comprend deux fils collés en lingual (sur la face interne des dents) de canine à canine en haut et en bas à vie.
En cas de bris des fils de contention, il est nécessaire d’avoir des gouttières amovibles de type ESSIX afin d’éviter que les dents des groupes incisivo-canins supérieurs et inférieurs ne bougent. En portant les gouttières la nuit, cela va repositionner les dents s’il y a eu des petits mouvements ainsi que les empêcher de bouger. On peut alors recoller le fil endommagé au cabinet exactement sur la position de fin de traitement.
Je ne suis pas familier du protocole de contention pratiqué par votre orthodontiste de l’époque. En cas de récidive de traitement, je vous invite à consulter votre ex orthodontiste pour un retraitement et à lui demander quel protocole de contention il compte mettre en place cette fois-ci.
Bien cordialement,
Dr David Issembert
bonjour, ma fille est rétrognathe d’environ 5mm, et elle a 13ans. est-ce que ce cas peut-il être corrigé avec un appareil dentaire ou l’opération est nécessaire? merci de votre aide
Bonjour,
Merci pour votre message.
A l’adolescence, ce type de décalage de classe II peut être souvent corrigé avec des élastiques et des attaches orthodontiques, mais il me faut voir votre fille en consultation pour le vérifier.
Bien cordialement,
Dr David Issembert
Bonjour, j’ai 24 ans et j’ai la mâchoire inférieure légèrement reculée. Je me suis habituée à mon profil et cela ne me gêne pas vraiment car l’écart n’est pas trop important. J’aimerai juste savoir si la mâchoire peut se reculer d’avantage malgré que la croissance soit terminée. Merci de votre réponse. Cordialement
Bonjour,
A l’âge de 24 ans, la croissance est en effet terminée et la mandibule ne reculera plus.
Néanmoins, sachez que si vous souhaitez corriger le décalage entre le haut et le bas, à l’âge adulte, les structures osseuses ne sont plus plastiques et il n’est plus possible d’avancer la mâchoire du bas (mandibule) par des élastiques permettant une traction intermaxillaire.
Seules une chirurgie d’avancement mandibulaire, ou dans certains cas des extractions de prémolaires maxillaires, ou encore un alignement associé à du stripping, rendent la correction de ce décalage possible.
Bien à vous,
Dr David Issembert
Bonjour Monsieur,
Ma mâchoire du haut étant moins large que celle du bas (je ne sais plus le nom de ce problème ni si mon commentaire est dans la bonne catégorie), mon orthodontiste m’a donné un palet « écarteur » que je dois porté 24h/24 sauf repas et lavage de dents, j’ai actuellement 19 ans et au dela des douleurs qui sont en soit normales, j’ai de gros problèmes pour m’exprimer et cela me bloque pour le mettre, je ne le porte donc que la nuit, est-ce un problème ? Si oui, savez vous comment régler ce problème de diction lié au palet ?
Cordialement
Bonjour,
Aucun appareil de traitement actif ne peut être porté seulement la nuit. Seuls les appareils de contention sont amenés à être portés seulement la nuit.
Concernant les douleurs liées à l' »expander », je ne peux guère vous répondre car je n’utilise que très rarement cet appareil pour les patients à l’âge adulte, je vous invite à vous rapprocher de votre orthodontiste actuel.
Bien cordialement,
Dr David Issembert
Bonjour mon fils a 19mois , quand ses 2 dents du bas on poussé il a passé son temps à les accrocher dans des jouets et les tirer, maintenant elle passe devant celle du haut (les autres dents on poussé normalement) , mais du coup pour réussir à mâcher il décale sa mâchoire du bas en la mettant plus en avant pour que les dents du bas et du haut ne se touche pas , il prend une mauvaise habitude, en plus du coup il a beaucoup de mal à manger les aliments solide car il ne peux pas les mâcher !!! Quelques chose peut être envisagée à son âge ? Cordialement
Bonjour,
Merci pour votre message.
Il n’est pas utile d’envisager un traitement orthodontique à son âge mais il faudra l’emmener chez un orthodontiste pour une visite de contrôle à l’âge de 6 ans, surtout s’il présente toujours une position d’articulé croisé dentaire.
Bien cordialement,
Dr David Issembert
Bonjour.
Je me permet de vous poser une question car je suis inquiet au sujet de ma fille de 3 ans qui vient d’avoir sa visite médicale à l’école maternelle. Nous avons alors remarqué que sa mâchoire inférieure est en retrait par rapport à celle du dessus.. nous pensons que la tétine est en cause (tétine dure). Aussi j’aimerai connaître les risques et savoir ce que nous devons faire pour les éviter.
Merci d’avance!
Bonjour,
A l’âge de 3 ans, il est difficile d’évaluer précisément une mandibule en retrait, et une première interception ne pourra se faire que vers l’âge de 7 ans.
La mâchoire en retrait n’est pas liée à la tétine en tout état de cause. En revanche, il serait intéressant de préparer votre enfant progressivement à l’arrêt de la tétine.
Bien à vous,
Dr David Issembert
Bonjour,
J’ai 46 ans et depuis tout petit les dents de la mâchoire inférieure viennent devant celles de la mâchoire supérieure lors de la mastication. Mâchoire inférieure avancée donc. Ce phénomène est congénitale car ma mère et ma gd mère l’ont mais moins prononcé. Cela s’est accentué avec ma croissance et à l’époque mes parents n’ont pas jugé bon d’intervenir mais ça me gêne à la mastication et je me dis qu’il est temps de gérer ceci. Le décalage est relativement important car il doit être de plus d’1 cm.
Qu’est il possible de faire pour régler ce problème?
Je vous remercie d’avance de votre réponse.
Bonjour,
Le problème que vous évoquez correspond à une situation d’articulé-croisé où les dents du bas ne sont pas circonscrites par l’arcade supérieure.
Pour remédier à ce problème, il est en général – mais pas toujours – nécessaire d’associer une chirurgie orthognatique au port d’un appareil.
Néanmoins, il me faut vous voir en consultation pour vous donner un diagnostic précis.
Bien cordialement,
Dr David Issembert
Ma fille de 4 ans se mordait la langue en mangeant, respirait souvent par la bouche… Et puis le mal d’oreille récurrent sans otite m’a intriguée. Le dentiste n’a rien vu, c’est l’orthodontiste qui devait corriger sa diction à 4 ans et 8 mois, qui a diagnostiqué une prognathie.
Peut on corriger cela très tôt : les dents du haut et du bas sont actuellement au même niveau, la langue pousse vers le bas
Bonjour,
La correction d’une prognathie – si cette dernière génère des articulés croisés dentaires – peut intervenir dès l’âge de 8 ans. Elle constitue une indication d’interception précoce.
Mais 5 ans c’est trop tôt et il n’y a aucun danger. La respiration buccale n’a pas de lien démontré avec les otites.
Bien cordialement,
Dr Issembert
Bonjour,
Mon fils de 9ans a eu sa visite chez le dentiste et je me suis fait « remonter »les bretelles par la dentiste car elle m’a dit que mon fils a la mâchoire du haut plus en avant que celle du bas.pour elle, c’est osseux. J’ai toujours fait suivre mon fils tous les ans et on ne m’a jamais rien dit malgré mes questions car moi-même j’ai le même soucis. J’ai eu un appareil dentaire mais sans plus car ceci devenait trop onéreux pour mes parents.
La dentiste me dit que c’est urgent et chirurgical. Elle me dit de passer par le chirurgie aussi.
Mes questions sont les suivantes : Dois-je obligatoirement faire une opération, est-elle remboursée et a quelle hauteur? mon fils doit-il également obligatoirement se faire opérer et est-il trop jeune si c’est le cas?
Est-ce une opération lourde et douloureuse pour lui et pour moi?
Merci de me répondre
Une maman inquiète et qui culpabilise
Bonjour Madame,
Tout d’abord rassurez-vous !
La condition que vous évoquez peut faire l’objet d’une prise en charge précoce mais vous devez absolument consulter un orthodontiste spécialiste qualifié en orthopédie dento-faciale.
Concernant le besoin de chirurgie, ce dernier ne peut être réévalué qu’à la fin de l’adolescence si votre enfant a bien un schéma squelettique de classe III.
Bien à vous,
Dr David Issembert
Bonjour,
Je me permet de vous écrire car j’ai la mâchoire du haut en avant par rapport à celle du bas.
Mon dentiste ma dis que c’était lié au faites que je ne sache pas respirer par le nez…
Il ma donc conseiller d’aller voir un orthodontiste pour mettre un appareil mais ne ma pas parler d’opération..
Par ailleurs mais dents du bas ce déchaussent il ma dis que j’ai les dents d’une dame de 50ans (j’en ai 20)
Cela pose t’il un problème pour l’opération ou la pose de l’appareil sachant que ces la mâchoire du haut qui es décaler ?
Bien à vous ,
Mme vassal
Bonjour,
Votre mâchoire du haut est probablement trop en avant en raison d’un défaut squelettique.
J’ai vraiment besoin de vous voir pour savoir si votre cas présente une indication chirurgicale ou non et évaluer le niveau de votre déchaussement.
Bien à vous,
Dr Issembert
Bonjour, mon fils de 4 ans a la mâchoire du haut en arrière ainsi que les dents qui poussent en arrière. De plus, il souffre d’un trouble du langage qui paralyse sa langue qui ne pousse pas vers le haut du palais. Son problème de mâchoir peut il être lié à son trouble? Est ce réversible? Merci de votre intention
Bonjour,
La position des mâchoires n’est pas liée au trouble que vous décrivez.
Il faut que je le voie en consultation pour vous donner un diagnostic précis.
Cordialement,
Dr Issembert
Bonjour,
j’ai 20 ans et mon orthodentiste m’à dit hier que ma mâchoire du bas s’étant développée après avoir enlevé mon appareil il y a 4 ans, cela a poussé légèrement mes dents du haut car ma mâchoire du bas s’est avancée. Il m’a dit que la croissance devrait bientôt se finir donc rien de grave.
Néanmoins maintenant je repense à mon père qui a une prognathie et je sais que c’est génétique, elle s’est développée tard chez lui. Du coup je m’inquiète beaucoup.
Bonjour,
Si votre orthodontiste considère que le traitement est stable ainsi, vous n’avez pas de souci à vous faire.
Si en revanche votre prognathie vous gêne esthétiquement au niveau du visage, envisagez avec lui un protocole ortho chirurgical.
Cela nécessitera un nouveau traitement.
Bien cordialement,
Dr Issembert
Bonjour,
Cela fait quelques mois que nous avons remarqué avec mon mari que notre fille qui a aujourd’hui un peu plus de deux ans avait la mâchoire du haut au même niveau que celle du bas : ses dents du haut et du bas de touchaient. Déjà inquiets à ce moment-là, nous venons de nous apercevoir qu’en quelques mois l’écart s’est encore creusé dans le mauvais sens : sa mandibule semble continuer d’avancer et elle a aujourd’hui une légère prognathie (à laquelle s’ajoute des canines pointues). Outre le côté esthétique qui nous inquiète car nous craignons bien évidemment le développement d’un complexe chez notre fille qui a du coup le bas du visage proéminent, nous nous interrogeons sur le côté fonctionnel de sa déglutition, de la mastication, de son articulation ou encore de sa respiration (exclusivement buccale avec encore un bavage). J’ai lu dans vos précédentes réponses que vous ne conseilliez rien avant l’âge de 7-8 ans. Seulement, étant donné l’aggravation si rapide que nous observons je me demande si un appareillage, même léger voire intermittent, n’existait pas pour ralentir la croissance de la mâchoire inférieure ou encore favoriser le développement de la supérieure… Sa prognathie étant aujourd’hui encore légère mais déjà bien visible même bouche fermée, j’ai du mal à envisager de continuer à regarder les choses empirer en me disant « on s’en occupera dans 5 ans ». Je suis vraiment désolée de ce « pavé », je voudrais juste m’assurer que rien n’est possible dans l’immédiat pour stopper cette malformation.
Bonjour Madame,
Ne vous inquiétez pas,on ne peut effectivement pas intervenir avant l’âge de 6-7 ans chez l’enfant.
Néanmoins, n’hésitez pas à passer au cabinet pour une consultation pour que je puisse vérifier que tout évolue normalement.
Bien à vous,
Dr David Issembert
Bonjour j’ai 22 ans j’ai un decalage entre les dents de bat (Elle’s sont en avence) et les dents du haut (elles sont en arrière ) , un orthodentiste m’a dit qui il faut faire une appareil pour la mâchoire seulement dans la nuit et un autre m’a dit il faut faire une appareil dentaire d’étoiles et merci .
Bonjour,
J’ai besoin de vous voir en consultation pour vérifier si seule l’orthodontie permet de résoudre votre problème ou s’il faut y associer une chirurgie maxillo-faciale.
En vous remerciant,
Bien à vous,
Dr David Issembert
Bonjour, j’ai 17 ans et je suis prognathe, quand j’etais petite (9/10ans) on me disait qu’il fallait attendre un peu avant d’avoir un appareil et quand j’ai changé d’orthodontiste (donc mon orthodentiste actuel) on m’a dit que c’était trop tard et qu’il faut attendre la fin de ma croissance pour me faire opérer c’est a dire 18/19ans et ca me parait long mais j’ai lu que certaines personnes l’ont fait avant et j’aimerai savoir si c’est possible? puisque je suis vraiment complexé par cela.
Et je voudrais savoir aussi quel appareil dentaire doit-on mettre c’est des bagues ou un appareil au palais? parce qu’on ma dit que comme j’ai déjà eu un appareil au palais je vais surement avoir des bagues
et derniere question c’est possible de mettre l’appareil dentaire après l’opération et non pas avant?
merci
Bonjour,
Sur un schéma squelettique de cl III, ce qui semble être votre cas, il est vrai que la chirurgie orthognatique se réalise en fin de pic de croissance.
Le mieux est de commencer le traitement vers 16 ans, et vous devez de toute façon être appareillée depuis au moins 8-12 mois avant d’être opérée.
Bien cordialement,
Dr Issembert
bonjour , j’ai effectivement le menton avancé (prognathie mandibulaire)
j’ai comme l’impression que ca s’est accentué avec le temps mais c’est très leger, cependant quand je serre les dents ce sont bien les dent du bas qui recouvrent celle du haut
j’ai 36 ans est ce qu’une correction est toujours envisageable,
si oui est ce que ca se passera obligatoirement par la case « chirurgie » ?
en vous remerciant d’avance
lolo.
Bonjour,
Une correction est en effet envisageable.
Je dois vous voir pour déterminer si c’est chirurgical ou non.
Bien cordialement,
Dr Issembert
Bonsoir! J’ai 26 et j’ai la machoire supérieure trop courte je n’arrive pas à couper les aliments avec mes dents de l’avant car ils s’alignent pas. Est-il possible avec cet âge de corriger la malformation des mâchoires?
Bonjour,
Une correction est en effet envisageable mais je dois vous voir en consultation afin de préciser le diagnostic.
Vous pouvez prendre rendez-vous au cabinet à l’horaire de votre choix, directement en ligne.
Bien cordialement,
Dr Issembert
Bonjour, j’ai 18 et je suis rétrognathe avec un décalage de quelques milimètres; pensez-vous que l’opération maxillo-faciale s’impose ou qu’un simple traitement orthodontique reste possible?
Je vous remercie d’avance pour votre réponse.
Bonjour,
L’opération est une solution, mais il peut il y en avoir d’autres, comme l’extraction des prémolaires ou le fait de laisser un décalage (avec une contention adaptée). Je dois vous voir afin de préciser le cas.
Si vous le souhaitez, vous pouvez prendre rendez-vous au cabinet à l’horaire de votre choix, directement sur Internet.
Bien cordialement,
Dr Issembert
Bonjour docteur,
Voilà, j’ai 23 ans, et j’ai toujours eu ce problème de ma mâchoire supérieure qui est en avant, je trouve que ça se voit de face mais surtout de profil. j’ai porté un appareil dentaire (des bagues) à l’age de 17 ans pendant 4 ans mais sans extraction de prémolaires, sans aucun résultats. je pense en être vraiment complexées et mes parents n’ont jamais su me comprendre.
je suis allé voir un autre dentiste à 20 ans qui m’a informé que j’avais une mâchoire en V, et que j devrais voir un spécialiste! mais ou en trouver dans mon pays 🙁
Je me demandais docteur si il y avait toujours espoir de corriger ça à mon age?
dois-je passer par la chirurgie? est elle douloureuse? ce n’est pas très coûteux?
Et je suis prête à me déplacer pour me faire soigner.
en attente de votre réponse docteur.
Cordialement
Bonjour,
Merci de votre message.
En l’état, il m’est difficile de juger votre cas.
Si vous êtes à proximité, vous pouvez prendre rendez-vous au cabinet à l’horaire de votre choix, directement sur Internet.
Bien à vous,
Dr Issembert
Bonjours jai 15 et jai la palette du haut avancer de la cause que quand j’étais jeune je sucais mon pouce toujours donc sa la avancer mais dents du haut et on voudrait faire les pas pour mes réparer vers lage de 16 et demi ou 17 ans !
Esct ce que sa va prendre l’opération ou non puisque ses juste a cause de mon sucage de pouce ? Jaimerais bien avoir les dents droite j’aime pas mon profil de côté!
Bonjour,
En général, cela peut être résolu grâce à des élastiques s’il y a encore de la croissance.
Bien cordialement,
Dr Issembert
Bonjour
Mon fils de 3 ans a fait un bilan orthodontique, il est retrognade..il s avere qu il aurait (deja) besoin de porter un appareil amovible ( genre de faux palais)avec un » toboggan » pour diminuer l ecart entre les dents du haut et celles du bas.il n a pas besoin de dijoncteur ( la largeur du palais etant bonne)
Pensez -vous qu il faut le faire maintenant a tout prix, ou peut on se permettre d attendre?sachant qu’il ne prend pas le pouce ni de tetine
En vous remerciant
Bonjour,
Merci de votre message. 3 ans c’est a priori trop jeune, on commence plutôt à partir de 7 ans.
Cordialement,
Dr. Issembert
Bonjour,
Ma nièce a l’age du 3ans. Et elle a la mâchoire du haut avancé à cause du sucette. Donc le docteur dit qu’elle a besoin d’une appareil pour régler ce problème, sinon elle risque d’avoir une opération.
Merci de m’expliquer mieu.
Bonjour,
Merci de votre message.
En l’état, il m’est difficile de juger, plusieurs solutions peuvent être envisagées, il faudrait faire réaliser le diagnostic par un orthodontiste.
Si vous le souhaitez, vous pouvez prendre rendez-vous au cabinet à l’horaire de votre choix en cliquant sur bouton ci-dessous :
Prendre RDV en ligne
Bien cordialement,
Dr Issembert
Bonjour,
J’ai les dents du haut avancées suite à un suçage de pouce enfant, et la mâchoire du bas qui est donc reculée.
Accepteriez vous juste de poser un appareil lingual sur les dents du haut ? Car je ne souhaite pas faire l’opération de la mâchoire.
Je souhaite juste reculer les dents du haut d’environ 3mm, pour l’esthétique, en sachant bien sûr qu’elles ne s’emboîteront toujours pas avec celles du bas.
En vous remerciant par avance pour votre réponse,
Cordialement.
Bonjour,
Merci de votre message.
C’est possible, mais il faut d’abord vous voir en première consultation afin de préciser le cas.
Si vous le souhaitez, vous pouvez prendre rendez-vous au cabinet à l’horaire de votre choix en cliquant sur bouton ci-dessous :
Prendre RDV en ligne
Bien cordialement,
Dr Issembert
Bonjour,
J’ai 28 ans et suis prognathe depuis l’enfance, mes dents du bas et celles du hauts étant alignées au lieu d’avoir celles du haut par dessus celles du bas. J’ai eu des bagues et un traitement de nuit de 12 à 15 ans (masque avec élastiques pour tirer les dents du haut + appareil à poser sur le palais pour repositionner la langue), qui s’est soldé par un échec. On m’avait dit qu’à l’âge adulte je pourrais envisager une chirurgie. Or jusqu’à aujourd’hui je ne me suis pas trouvée gênée par la situation ni au niveau esthétique ni fonctionnel. Mais depuis quelques semaines j’ai l’impression que ma mâchoire inférieure se met à avancer. Est-ce possible à 28 ans? Je sens comme une légère pression musculaire sur tout le bas de la mâchoire allant jusqu’aux oreilles et il me semble que certaines dents qui se touchaient ne se touchent plus, ou difficilement, avec des difficultés à mastiquer. Est-ce vraiment possible malgré que j’ai terminé ma croissance il y a longtemps? Je vis désormais à l’étranger et il est très compliqué et coûteux pour moi de consulter un orthodontiste dans l’immédiat. Que suggérez-vous? A noter aussi que j’ai été opérée d’une rhinoplastie il y a 3.5 ans (est-ce lié?). Merci pour votre retour.
Bonjour,
Merci de votre message.
Il peut en effet arriver que chez certains patients classe 3 une croissance résiduelle se manifeste lors de la première partie de la vingtaine. Néanmoins, sans vous voir en consultation il est difficile de juger en l’état. Cela n’est en aucun cas lié à la rhinoplastie que vous avez subi, je vous invite à consulter un orthodontiste car il est très difficile de poser un diagnostic pertinent à distance.
Bien cordialement,
Dr Issembert
salut , j’ai 19 ans et j’ai la mâchoire inférieure est avancée a peu près d’un mm ou deux par rapport à celle du haut , j’aimerais savoir que mon cas nécessite une chirurgie ou il peut être traité avec orthodontie ?
Bonjour,
Merci de votre message.
Il faut d’abord vous voir en consultation afin de préciser le cas.
Si vous le souhaitez, vous pouvez prendre rendez-vous au cabinet à l’horaire de votre choix en cliquant sur bouton ci-dessous :
Prendre RDV en ligne
Bien cordialement,
Dr Issembert
Bonjour , J’ai 14ans , J’ai constaté que mes dents inférieurs était très légèrement en avant . Il me semble que se n’était pas le cas il y’a 1-2 mois . J’ai commencé a craquer ma mâchoire il y’a 1-2 semaines . Est-ce à cause de sa ? et Est-ce que je dois aller consulter ? Merci.
Bonjour,
Merci de votre message.
Ce n’est a priori pas lié, il faudrait consulter un kinésithérapeuthe.
Bien cordialement,
Dr Issembert
Bonjours ,
Je m’appel Kelly j’ai 18ans depuis toutes petite j’en souffre et je suis extrêmement complexer j’aimerais trouver une solution savoir les prix car je ne fait qu’un contrat civique je ne touche que 580 par mois
Bonjour,
Merci de votre message.
Afin de préciser votre cas, si vous le souhaitez vous pouvez prendre rdv à notre cabinet.
Prendre RDV en ligne
Bien cordialement,
Dr Issembert
Bonjour,
Notre fille de 12 ans a une béance modérée avec rétrognathie mandibulaire, tendance à l’hyperdivergence et déglutition atypique.
Le pic de croissance n’est pas encore intervenu.
Nous avons consulté un premier orthodontiste qui nous a proposé un traitement par multiattaches Damon pendant 2 ans et demi avec élastiques intermaxillaires.
S’agissant d’un problème squelettique, nous avons consulté un autre orthodontiste pour avoir un 2ème avis. Celui nous a parlé d’un traitement plus complexe avec des dispositifs spécifiques (bielle puis multiattaches) car il considère que, compte tenu de l’hyperdivergence, avec un simple traitement par bagues et élastiques, la stabilité du traitement n’est pas assurée.
Nous sommes perplexes. Pensez-vous qu’un simple traitement par bagues et élastiques ne suffira pas à assurer la stabilité du traitement si notre fille a une croissance hyperdivergente ?
Merci
Bonjour,
Merci de votre message.
D’après ce que vous décrivez, les deux protocoles peuvent être tout aussi efficaces si la réponse aux élastiques est bonne.
Si malgré le port d’élastiques la béance et le surplomb demeurent, il peut être alors nécessaire d’envisager dans le cadre du’ne réévalusation du plan de traitement des extractions et/ou une chirurgie associée au traitement.
Bien cordialement,
Dr Issembert
Bonjour
Je souhaiterai des informations je suis un peu perdue
J’ai 27 ans,je n’ai jamais vu d’orthodentiste.
J’ai la mâchoire du bas légèrement avancée et un espace assez important entre mes dents du haut et du bas ce qui me gêne depuis des années pour manger et pour fermer la bouche (une impression d’effort sur la mâchoire pour rester bouche fermée, du coup j’ai souvent la bouche ouverte)
Je souhaiterai savoir qui contacter pourune consultation et éventuellement une chirurgie
Je vous remercie d’avance pour votre réponse
Bonjour,
Merci de votre message.
Cela dépend, il faudrait préciser votre cas pour savoir s’il y a une indication chirurgicale ou non. Si vous le souhaitez vous pouvez prendre rdv à notre cabinet.
Prendre RDV en ligne
Bien cordialement,
Dr Issembert
Bjr suis en Afrique,le dentiste vient de diagnostiquer mon fils de 4 ans,retrognathe de la machoire supérieure.Le dentiste pense corriger.Conduite à suivre?Merci
Bonjour,
Je vous remercie de votre message !
4 ans c’est trop tôt pour corriger, il faut attendre 7-8 ans et seulement dans le cas d’un gros décalage, sinon 12 ans.
Bien cordialement,
Dr Issembert
Bonjour,
mon mari est prognathe. J’ai l’impression que notre fils de bientôt 2ans présente la même anomalie, ses dents du bas étant devant celles du haut. Pour le moment, son profil est toutefois «normal».
A quel âge faut-il consulter la première fois? Faut il attendre les dents définitives ?
Merci par avance pour votre réponse.
Bien cordialement
Bonjour,
Je vous remercie de votre message !
Il faut attendre 7-8 ans et seulement dans le cas d’un gros décalage, sinon 12 ans.
Bien cordialement,
Dr Issembert
Bonjour, j ai 25 ans est j ai la machoir du bas en avant par contre tout mes dents du haut c est des couronnes ( bridge ) est il obligatoire de mettre l appareil avant pendant des mois ou puis je avoir recourt à la chirurgie de la machoir sans passer par cette étape ? En sachant que mes dents son super fragile même le bas casse pour un rien malgré une bonne hygiène dentaire. Merci
Bonjour,
Je vous remercie de votre message.
Il faut d’abord une préparation orthodontique avant la chirurgie.
Bien cordialement,
Dr Issembert
Bonjour.
J’ai 28 ans et j ai subi une avancée mandibulaire avec génioplastie.
Mon fils va avoir 3 ans et demi. Quand je le regarde de profil j’ai l’impression qu’il a hérité de mon profil d’avant. À savoir la mâchoire du bas plus en retrait que celle du haut.
Est ce possible à cet âge de confirmer ce diagnostique ? Mon fils est encore un « bébé » il risque d’avoir des craintes, est-ce qu’à cet âge là ça sert à quelque chose de venir dès maintenant ?
Merci par avance.
Bonjour,
Je vous remercie de votre message.
Ca ne sert à rien de s’inquiéter si tôt, il faudra l’amener chez un orthodontiste à partir de 7 ans. S’il présente une rétrognathie, elle sera traitable avec des élastiques, en utilisant sa croissance ce qui évitera la chirurgie.
Bien cordialement,
Dr Issembert
Bonjour. J’ai bien lu le message plus haut mais je suis inquiète.
Mon fils a 3 ans. En regardant sa bouche j’ai observé que son maxillaire inférieur est en arrière avec environ 1 cm. Son palais est étrange aussi. Mon fils a été opéré a l’âge de 13 mois pour frein de langue (la langue complètement collée en bas). Malheureusement, a ce jour ne mange pas de morceaux et vomit au moindre morceau. En attendant notre premier rdv à Necker, pensez-vous si cette position du maxillaire peut avoir une incidence sur l’alimentation? Il mange tout mixe comme un bébé et on s’inquiète pour sa santé.
Bonjour,
Merci de votre message.
Je ne peux pas vous donner un avis sur cette situation d’urgence, il faut voir avec un pédiatre et ne pas hésiter à consulter en urgence si nécessaire.
Cordialement,
Docteur Issembert
Bonjour,
Ma fille a 14 mois et a la machoire inférieur en avant par rapport à la supérieur.
A partir de quel age peut elle commencer un traitement?
Merci
Bonjour,
Je vous remercie de votre message.
14 mois c’est beaucoup trop tôt pour corriger ! Il faut attendre 7-8 ans et seulement dans le cas d’un gros décalage, sinon 12 ans.
Bien cordialement,
Dr Issembert
Bonjour, notre fils aura bientot 17 ans et le dentiste consulte pour une prognathie mandibulaire « recente » ( enfant, puis jeune adolescent, nous n’avions rien remarque, cela fait un an ou deux seulement que son menton s’avance et s’allonge ) nous envoie vers un orthodontiste pour le placement d’un appareillage. Or, je savais deja et je lis confirmation ici du fait que ce genre d’equipement est utile surtout pour les jeunes enfants. Que nous conseillez-vous ? Merci
Bonjour,
Un traitement d’orthodontie, associé ou non à une chirurgie, peut résoudre un problème de prognathie mandibulaire. Il faut cependant évaluer le cas pour préciser les traitements possibles. Je vous invite si vous le souhaitez à prendre rdv à notre cabinet.
Prendre RDV en ligne
Bien cordialement,
Dr Issembert
bonjour
j’ai 15ans et j’ai un Problème de la Mâchoire de bas décalé est-ce-que y’a un espoir que avec l’appareil dentaire que cava aller stp j’ai besion de ton avis :/
Bonjour,
Je vous invite à consulter un orthodontiste pour voir ce qu’il est possible de faire.
Bien à vous,
Dr. David Issembert
Bonjour,
J’ai 37 ans et j’ai les dents de devant en avant, je pense que c’est une retrognathie. J’ai également 6 couronnes sur les dents de devant..suite à une chute dans mon enfance. Depuis quelques mois les couronnes ont bougés et mes deux dents de devant sont écartés. Avant de voir un chirurgien dentiste, j’aimerais avoir un avis d’un orthodontiste pour voir si le port d’un appareil est nécessaire avant peut être le remplacement des couronnes.. Je ne pense pas psychologiquement supporter une opération. J’aimerais porter un appareil invisalign ou linguale si c’est possible.
Bonjour,
Merci de votre message. Je vous invite en effet à consulter un orthodontiste pour envisager les traitements possibles en fonction de vos dents et de ce que vous souhaitez. Je vous recevrai avec plaisir.
Bien à vous,
Dr. David Issembert
Bonjours, j’ai enmenné ma fille de 3 ans chez le dentiste il m’a dit qu’elle avais le machoir du bas plus grande que celle du haut ( je c’est plus comment il a appeller sa ).. je voulais savoir si sa avais des chances de se remettre tout seul en grandissant, si non il faut faire quoi? Merci.
Bonjour,
Je vous invite à vous rapprocher d’un orthodontiste quand votre fille aura environ 10 ans. 3 ans, c’est beaucoup trop tôt pour se prononcer.
Bien à vous,
Dr. David Issembert
Bonjour, j’ai 16ans et une croissance je pense terminée (bien que je sois petite) et on m’a posé les bagues il y a 6mois. Je suis rétrognathe et j’ai un décalage d’environ 5mm. Mon dentiste et mon ortho réfléchissent beaucoup pour l’opération (et mes parents sont très inquiets) ils ont espoir, je pense, que ça s’arrange avec les bagues. Pensez-vous qu’il y a une chance d’eviter l’opération, malgré la croissance quasi terminée?
Bonjour,
Merci de votre message.
Si vous souhaitez avoir un avis complémentaire de qualité, je vous invite à prendre rendez-vous chez un ou plusieurs orthodontistes afin de pouvoir analyser l’état de vos dents et répondre à vos questions. Il n’est pas possible de diagnostiquer en effet sur la base d’une simple description textuelle.
Bien cordialement,
Dr. Issembert
Bonjour j’ai 29 et j’ai la mâchoire inférieur qui recouvre la mâchoire supérieur, je vie au Burkina Faso plus précisément à fada N’gourma. J’ai besoin de votre aide car c’est dernier temps je n’arrive plus à bien mâche mais alliments. J’ai mal. Aidé moi svp. Merci
Bonjour,
Merci de votre message. Je vous invite à vous rapprocher d’un dentiste localement afin qu’il puisse donner un diagnostic. Il y a de nombreux éléments à prendre en compte et je ne peux malheureusement vous donner de réponse.
Bien cordialement,
Dr. Issembert
Bonjour,
Ma fille de 2 ans a la mâchoire du bas en avant. Je ne sais pas si une consultation à son âge est conseillée ? j’ai vu qu’il fallait s’y prendre tôt…
Elle n’a jamais eu de tétine mais quand elle s’endort elle fait toujours une sorte de mouvement de succion avec sa langue qui pousse les dents du bas.
Je précise que ni mon mari, ni moi-même n’avons eu de problème de mâchoire du bas en avant dans notre enfance…
Si une consultation n’est pas nécessaire du fait de son jeune âge , pourriez-vous me donner des conseils pour essayer d’inverser ce phénomène ?
Merci pour votre aide,
Cordialement.
Bonjour,
Je vous invite à consulter un orthodontiste quand votre fille aura 5/6 ans. A son âge c’est beaucoup trop tôt, et je ne peux pas vous conseiller à ce propos.
Bien à vous,
Dr. Issembert
bonjour ,
j’ai 25 ans et prognathe ( machoire du bas avancée ) j’envisage de réparer cela donc je voudrais savoir dans le cas de l’opération le passage par un traitement orthodontique est il obligatoire ?
en vous remerciant
Bonjour,
Merci de votre message. Le traitement d’orthodontie est en effet systématique, afin de permettre la coordination des arcades lors de l’intervention chirurgicale.
Bien à vous,
Dr. David Issembert
Bonjour, je me permets de vous écrire afin d’ avoir des réponses à mes questions.
Mon fils de six ans a les dents du bas qui recouvre celle du haut quand il sourit, il tient ça de sa grand-mère.
quelle solution apportée vous à ce genre de soucis?
je souhaiterais prendre rendez-vous avec vous afin que vous le voyez.
peut-on éviter la chirurgie à l’âge adulte ?
Cordialement Madame Baira.
Bonjour,
Merci de votre message.
D’après votre description, il est peut-être possible d’éviter la chirurgie à l’âge adulte, cependant il y a de nombreux paramètres à prendre en compte pour vous donner une idée du traitement et une réponse définitive. Vous pouvez prendre rdv par téléphone au 01 47 20 90 08 ou via Doctolib.
Bien cordialement,
Dr. David Issembert
Bonjour Dr,
J’aimerais votre avis s’il vous plait: J’ai 29 ans, j’ai une rétrognathie. Je ne sais pas si elle est considérée comme « grave »ou pas(cela ne me gene pas vraiment esthétiquement) mais mes dents du haut recouvrent complétement celles du bas. J’ai porté un appareil pendant 5 ans(!) de mes 16 à 21 ans. L’orthodontiste à juste refermé de espaces entres mes dents et elle n’avait jamais parlé d’opération. Depuis mes dents sont très fragiles,toutes ont été soignées et j’ai déjà deux dents couronnées. Je suis bloquée car au vu de ma fragilité dentaire, j’ai peur que remettre un appareil et faire une opération les abiment encore plus d’un autre côté mes dents du bas blessent légèrement mes gencives en haut. Merci d’avance pour vos conseils.
Bonjour,
Merci de votre message.
Il m’est malheureusement impossible de vous répondre sur la seule base d’une description textuelle, il me faut vous voir en rendez-vous pour vous donner une réponse définitive à ces questions. Vous pouvez prendre rdv par téléphone au 01 47 20 90 08 ou via Doctolib si vous le souhaitez.
Bien cordialement,
Dr. David Issembert
Bonjour , je suivis par un orthodontiste Que je vois assez fréquemment mais pas tout les mois je voudrais avoir de petits renseignements , j’ai 12 ans et demi mon orthodontiste ma dit qu’il fallait soit que je me fasse opérer des dents de sagesses ou soit opéré de la mâchoire. Il m’as dit que c’était à moi de choisir , mais qu’en parallèle il verrais avec un spécialiste. Moi je préfère me faire opérer de la mâchoire , j’ai un assez grand décalage et mon menton est assez haut et coller à mes lèvres . Je pense que je vais demander à me faire opérer de la mâchoire , mais comme je vous l’ai dit , je voudrais quelques renseignements sur ça ; – Est-ce possible de se faire opérer de la mâchoire à 12 ans et demi ? – Combien de jours environ devrai-je rester à l’hôpital ? – Combien de semaines devrai-je ne pas allez au collège ( je suis en 5 eme ) ? Merci d’avance .
Bonjour,
Merci de votre message. Il est en effet possible de se faire opérer de la mâchoire dans votre cas, le post opératoire sera cependant plus lourd que pour l’extraction des dents de sagesse. Voyez prioritairement avec votre orthodontiste actuel, qui sera le mieux à même de vous conseiller, connaissant bien votre cas.
Bien cordialement,
Dr. David Issembert
Bonjour,
Mon fils de 5 ans a le mâchoire inférieur en arrière depuis toujours.
A 12 mois a eu une intervention à Robert Debré pour le frein de langue trop court.
Il n’a jamais mangé des morceaux car des vomissements. A l’age de 2 ans a mit pour la première fois dans sa bouche un biberon car trop maigre.
Aujourd’hui il mange que des soupes mixés à la cuillère, non verbal, soucis de respiration la nuit. Je ne sais pas comment expliquer mais sa langue bloque la rentrée de la nourriture dans sa bouche et il prend juste un peu de soupe sur ses lèvres. Un bol dure environ une heure. On dirait qu’il a vraiment du mal a avancer la nourriture.
Nous avons consultés depuis deux ans de dentistes en libéral, orthodontiste à Robert Debré et tout le monde dit d’attendre l’age de 8 ans.
Je ne comprends pas. Pourquoi tout le monde dit de réagir tôt et lors des consultations rien?
Comme il est diagnostiqué tsa maintenant on met tout dans le dos des ces troubles sans chercher plus loin.
Je cherche vraiment de l’aide.
Cordialement
Bonjour,
Merci de votre message.
Vous serait-il possible de venir en consultation au cabinet ? C’est un cas complexe et il m’est impossible de vous répondre précisément uniquement à partir de cette description.
Bien à vous,
Dr. David Issembert
Bonjour,
J’ai actuellement un appareil dentaire depuis 2 ans et une rétrognathie de la mâchoire du bas de 3-4 mm. Mon orthodontiste me dit que l’opération est indispensable, qu’il n’y a pas d’autres solutions.
Il pense que les élastiques ne rattraperont pas un décalage de 3-4mm.
Une opération est-elle vraiment nécessaire pour un décalage qui me semble assez petit ?
(Je n’ai aucune gêne de déglutition, articulaire, respiratoire, esthétique, etc.)
Les élastiques ne peuvent-ils vraiment pas corriger ce décalage ?
Je suis étudiante, je n’ai pas forcément l’argent et le temps…
J’aimerais trouver une alternative de l’opération.
Si je ne corrige pas ce décalage quelles seront les conséquences ?
Je me pose ces questions maintenant depuis 6 mois… il faut que je prenne une décision.
Merci d’avance !
Bonjour,
Merci de votre message.
Chez l’adulte il n’y a pas de croissance, les élastiques n’ont donc absolument aucune incidence et seule la chirurgie peut modifier la position de la machoire.
Cependant, il est peut-être possible d’obtenir un résultat esthétique avec un traitement d’orthodontie sans chirurgie, mais il faudrait vous voir en rdv pour vous dire, cela dépend totalement des cas.
Bien à vous,
Dr. David Issembert
Bonjour,
Je suis un traitement orthodontique associé à une chirurgie maxillo-faciale depuis 1 an. Après reflexion, je souhaiterai annuler la partie chirurgie. Pouvez-vous m’indiquer si le temps du traitement d’orthodontie se poursuivra plus longtemps et si l’on peut me proposer un autre traitement que la chirurgie?
Par avance, merci de votre réponse
Bonjour,
Merci de votre message. Je vous invite à voir avec votre orthodontiste, qui réalise le plan de traitement.
Pour pouvoir vous répondre il faudrait vous voir en consultation, tout dépend du cas, du type de chirurgie, de traitement, etc.
Bien à vous,
Dr. David Issembert
Bonjour, j’ai 15ans et je voudrais savoir si il est possible de corriger ma prognathie sans opération de la mâchoire
Bonjour,
Merci de votre message.
Il faudrait vous voir en consultation pour vous dire car cela dépend totalement du cas, et de l’état de la croissance.
Bien à vous,
Dr. David Issembert
Bonjour,notre fils de 10 ans présente une prognathie mandibulaire. Il a bien fait ses visites de 3, 6 et 9 ans mais jamais le dentiste nous avez conseillé l’orthodontie avant. Aujourd’hui l’orthodontiste l’a appareillé avec une sorte de faux palais fixé (sans silicone ou autre) sur les dents du fond. Il a des tiges sur le palais et d’autres qui se croisent derrière les dents de devant. Le problème qu’il rencontre c’est qu’il ne peut pas encore passer ses dents du bas derrière mais ne peut pas les placer devant et donc plus aucune dent ne se touchent et il ne peut pas manger. Faut-il retourner voir le spécialiste pour un réglage de l’appareil ? merci
Bonjour,
Merci de votre message. Votre fils étant suivi chez un orthodontiste, je vous invite à le contacter car il sera à même de vous indiquer quoi faire. Cependant, il vous est possible de consulter un autre orthodontiste si vous le souhaitez.
Bien à vous,
Dr. David Issembert
Bonjour,
ma fille de 10 ans semble être retrognate avec les dents du haut qui partent vers l’avant (mauvaise occlusion,dent de lapin avec 1cm de décalage sur les dents du bas)
Je viens de passer par un orthodontiste qui lui a donc fait une plaque palatine a porter jour et nuit, qui aurait pour vertu d’élargir la mâchoire du haut et de ramener les « dents de lapin » vers l’arrière….et permettrait à la mandibule de reprendre sa croissance vers l’avant.
Pour les gens qui n’y connaissent rien ,le doute s’installe facilement
Elargir la machoire du haut pour que celle du bas grandissent vers l’avant jusqu’a une bonne occlusion?
Sans voir la mâchoire , j’imagine que c’est difficile d’apprécier la situation mais en 2ème avis cela vous semble t il …juste,possible?
cordialement
S.C
Bonjour Madame,
Etant donné le type de cas, il m’est difficile de vous donner un avis complet à distance. Je serais ravi de vous recevoir en consultation (la consultation est à 23€ et entièrement prise en charge). Sinon, je vous conseille si vous le souhaitez de consulter un autre orthodontiste pour avoir un avis complémentaire qui pourra vous donner un avis complémentaire.
Bien à vous,
Dr David Issembert
Salut, j’ai 11 ans et ma mâchoire du bas est avancée mais vraiment pas beaucoup je pense dans les centimètres je croix et je voudrais s’avoir si c’est possible avec des bagues et élastiques que sa s’arrange merci. 🙂
Bien à vous.
Bonjour, merci de votre message. Oui tout à fait, c’est quelque chose d’envisageable. Bien à vous, Dr David Issembert
Bonjour je m’appelle samira,j’ai 15 ans et demie,mon problème est que j’ai la machoir du bas avancé,je pense être prognathe,enfin je pense,je voudrai savoir si un appareil dentaire peut m’aider à ce que mes deux machoir sois en equilibre,ou si c obliger de passer par la chirergie.Et aussi si je devrai payer l’appareil dentaire,car a ce que je sais,c à partir de 16ans qu’on doit payer enfin je pense,et si vous avez d’autre chose à me dire face à mon décalage de machoir,alors je vous remercirer de bien vouloir me mettre au courante de tout merci.
Cordialement
Bonjour Samira,
Merci de votre message. Je vous conseille effectivement de débuter votre traitement avant votre 16ème anniversaire si vous souhaitez avoir une prise en charge certaine et plus importante. Concernant le décalage, il faudrait vous voir en consultation pour vous donner un avis définitif, selon les cas plusieurs solutions sont envisageables.
Bien à vous,
Dr David Issembert
Bonjour,
J’ai 20 ans, je possède un décalage de la mâchoire. Plus précisément, ma mâchoire du haut est légèrement avancée et mes dents sont avancées. Je possède un écartement d’un doigt je dirais. Contrairement à ma mâchoire du bas, celle-ci est légèrement en retrait.
J’aimerais avoir votre avis la dessus
On m’a proposé deux solutions, la première étant une opération chirurgicale de la mâchoire, la deuxième étant un appareil dentaire particulier qui se pose sur le palais (cela aurait pour but de faire une rotation de ma mâchoire).
Bonjour,
Merci de votre message. En effet, une chirurgie semble la solution à envisager, mais il me faudrait vous voir en consultation pour vraiment vous donner un avis définitif.
Bien à vous,
Dr David Issembert
Bonjour, je suis une femme, j’ai 26 ans, mon visage n’est pas harmonieux, absence de pommettes, les lèvres ne sont pas symétriques et mes dents sont légèrement mal alignées : légère asymétrie entre les dents du haut et du bat et on voit un petit bout de la langue quand il est collé aux dents les mâchoires fermés. Quand je parle on voit que ma bouche en général n’est pas harmonieuse. J’ai consulté un orthodontiste et il m’a proposé l’éducation fonctionnelle pour la correction de la position basse de la langue (appareil à porter pendant en moins 6 mois, la nuit et 2 heures le jour) car je pousse mes dents du devant avec la langue. Il m’a dit ensuite on pourra envisager un appareil dentaire. J’aimerais savoir si à 26 ans, le fait de de corriger la position de la langue peut améliorer l’harmonie des mâchoires et du visage en général ? Car l’orthodontiste m’a dit que pour les mâchoires c’est plus long chez l’adulte mais c’est possible. Aussi, pouvez-vous me confirmer l’efficacité de ce traitement sur l’alignement des dents ? Si non, quel traitement, sachant que je n’ai pas de problèmes très sérieux pour envisager une chirurgie, je veux juste que les lèvres, les dents et/ou les mâchoires soit plus symétriques pour l’esthétique du visage.
Je vous remercie d’avance pour l’attention que vous portiez à mon message !
Bonjour,
Merci de votre message. Etant donné la complexité des éléments évoqués, il faudrait vous voir en consultation au cabinet pour vous répondre après analyse précise de votre cas.
Bien à vous,
Dr David Issembert
Bonjour, lorsque ma fille âgée de 3 ans sourit, ses dents du bas sont légèrement plus avancées que celles du haut. A quel âge faut il envisager des soins ?
Bonjour,
Merci de votre message. On peut envisager à partir de 6-7 ans, mais c’est à décider en fonction d’un premier rendez-vous de consultation. Si les soins ne sont pas à débuter tout de suite, il faudra revenir régulièrement en consultation, afin que l’on puisse débuter au bon moment, ni trop tôt, ni trop tard.
Bien à vous,
Dr Issembert
Bonjour,
ma fille a eu un traitement par bielles de Herbst à 12 ans et 10 mois, car elle avait une légère rétrognathie, et qu’elle a gardé près de mois, jusqu’en mars 2021. Esthétiquement, ce n’est pas joli, et je suis très inquiète, c’est comme si sa mandibule était maintenant trop en avant (même si au niveau squeletique cela semble « parfait ».
Que pouvons nous faire?
De plus nous craignions que la mandibule ne pousse plus longtemps que le maxillaire dans les années de croissance à venir, et que le problème ne s’accentue.
Bonjour,
Merci de votre message. Difficile de vous répondre sans voir votre fille ! Si vous avez des doutes ou que vous souhaitez un autre avis, le mieux est sans doute d’aller consulter un ou plusieurs orthodontistes pour avoir un avis complémentaire.
Bien à vous,
Dr Issembert
Bonjour,
Je suis tombée sur votre article suite à une recherche sur le sujet.
Ma fille à 16 mois, elle n’a pas encore toutes ses dents. Mais elle positionne ses deux dents du bas sur ses dents du haut. Pensez vous que cela peut se modifier tout seul ? Ou bien devons nous consulter ?
Merci
Bonjour,
Je vous conseille vivement de consulter un ou plusieurs orthodontistes (attention, consultez bien un orthodontiste, pas un dentiste), mais pas à son âge ! Vers les 5 ou 6 ans seulement.
Bien à vous,
Dr Issembert
Bonjour,
mon fils de 15 ans a subi un traitement orthodontiste car il avait la mâchoire du bas qui partait en avant. Il a porté un masque nocturne pour développer sa mâchoire supérieure. Il a aussi porté des bagues pour redressé ses dents du hauts et du bas qui n’étaient pas droites . Il a retiré son appareil il y a quelques mois et a beaucoup grandit depuis. sa mâchoire du bas a de nouveau repoussé en avant et ses dents sont aujourd’hui parfaitement posés les dents du hauts sur celles du bas. mon orthodontiste me dit qu’il ne peut rien faire pour le moment , qu’il faut attendre la fin de sa croissance ? Qu’en pensez vous? N’y a t il vraiment rien a faire en attendant la fin de sa croissance ?
Bonjour,
Merci de votre message, il faudrait voir en consultation mais en effet à cet âge là c’est ce qui est en général préconisé,
Bien à vous,
Dr Issembert
Mon bébé de 1ans et 3 mois à la mâchoire du bas en avant je dois prendre rendez-vous chez un orthodonti? Ou il est encore trop petit
Bonjour,
Merci de votre message. Il est beaucoup trop tôt pour consulter un orthodontiste, attendez l’âge de 5 ou 6 ans minimum.
Bien à vous,
Dr Issembert
Mon bébé de 1ans et 3 mois à la mâchoire du bas en avant je dois prendre rendez-vous chez un orthodonti? Ou il est encore trop petit…
Bonjour.
On me dit que mon fils qui va avoir 14 ans et a fait sa poussée de croissance a le palais trop étroit et que seule une opération peut résoudre cela. N’y a-t-il pas des solutions pour éviter cela? est-ce vraiment trop tard et n’y a -t-il pas des appareils pour éviter le recours à une opération?
Bonjour,
Merci de votre message. Si vous avez un doute vous pouvez consulter un autre orthodontiste (n’ayant ni photos ni radios ni examen je ne peux pas vous répondre), mais probablement que je disjoncteur n’est plus possible dans son cas et que pour cette raison on vous a conseillé de prévoir une chirurgie.
Bien à vous,
Dr Issembert
Bonjour
Mon bebé de 3 mois est né avec une retrognathie (qui n est pas tres importante). Le pédiatre de la maternite m a affirmé que le probleme n’ etant qu esthétique, il n y aurait rien a faire plus tard.
Je suis donc inquiete à l idée qu il puisse plus tard etre complexé par son profil sans avoir de solution. Pouvez vous, au contraire, me rassurer sur le fait que si la retrognathie persiste, il existera des solutions efficaces en temps voulu?
Bonjour,
Merci de votre message.
1/ Rien ne dit qu’elle persistera
2/ Si c’est le cas, dans le cadre d’un traitement d’orthodontie interceptive (à partir de 6-7ans minimum), en général en deux phases, on prent tout à fait en charge la rétrognathie qui est quelque chose d’extrèmement courant, il n’y a pas de souci
3/ Quand bien même il y aurait prognathie et oubli de l’orthodontie, une chirurgie maxillo-faciale (bimax) à l’âge adulte est tout à fait possible.
Pas d’inquiétude donc, pensez juste bien à aller voir un orthodontiste à partir de 6 ans !
Bien à vous,
Dr Issembert
Bonjour
Mon bebé de 3 mois est né avec une retrognathie. Le pédiatre de la maternite m a affirmé que le probleme n’ etant qu esthétique, il n y aurait rien a faire plus tard.
Je suis donc inquiete à l idée qu il puisse plus tard etre complexé par son profil sans avoir de solution. Pouvez vous, au contraire, me rassurer sur le fait que si la retrognathie persiste, il existera des solutions efficaces en temps voulu?
Bonjour,
Merci de votre message.
1/ Rien ne dit qu’elle persistera
2/ Si c’est le cas, dans le cadre d’un traitement d’orthodontie interceptive (à partir de 6-7ans minimum), en général en deux phases, on prent tout à fait en charge la rétrognathie qui est quelque chose d’extrèmement courant, il n’y a pas de souci
3/ Quand bien même il y aurait prognathie et oubli de l’orthodontie, une chirurgie maxillo-faciale (bimax) à l’âge adulte est tout à fait possible.
Pas d’inquiétude donc, pensez juste bien à aller voir un orthodontiste à partir de 6 ans !
Bien à vous,
Dr Issembert
Bonsoir j’ai été victime d’un accident de circulation conséquence ma fracture de la machoire inférieur après l’opération a eu lieu deux semaines après par les chirurgien maxillo facial mais je constate a présent que sa n’a pas été une réussite puisque la moitié de la machoire opérée est umpeu en avant donc les dent du haut n’arrive a couvrir celle du bas d’où un problème de mastication et je me sent gêne au sourire que faire aider moi je suis en Afrique pays côte d’Ivoire.
Bonjour,
Merci pour votre message. Il faudrait revoir le chirurgien qui vous a opéré et qu’il vous adresse à un orthodontiste si nécessaire.
Bien à vous,
Dr Issembert