Orthodontie et chirurgie : cas concret chez un patient adulte
Il est parfois nécessaire – lorsque la croissance est insuffisante ou qu’il existe un décalage important, par exemple – d’effectuer un protocole impliquant orthodontie et chirurgie.
Quelques explications sur un cas concret.
Update du 22 Octobre 2020 : Ajout de d’information autour de 6 cas classiquement traités en orthodontie avec de la chirurgie de la mâchoire.

La chirurgie et l’orthodontie sur un adulte : pour tout comprendre
Pourquoi de la chirurgie ?
Pour expliquer en quelques mots pourquoi il a été nécessaire d’effectuer un protocole incluant orthodontie et chirurgie, regardez les photos présentées ci-dessous.
Chez ce patient, la mâchoire inférieure était très en retrait, ce qui engendrait :
- non seulement une mastication difficile,
- mais également un profil altéré.
Quelques photos avant chirurgie
3 photos du patient avant la chirurgie :
- Photo n°1 : Profil adulte avant chirurgie orthodontique
- Photos n°2 et 3 : Boutons transparents placés sur la dent en vue de la chirurgie (vue de face et de profil)
Explications sur le traitement
Pour ce patient, nous avons procédé au nivellement et à l’alignement des arcades via un appareillage lingual maxillaire ainsi qu’un transparent mandibulaire.
Nous avons ainsi obtenu 2 belles arcades bien coordonnées (en forme de fer à cheval).
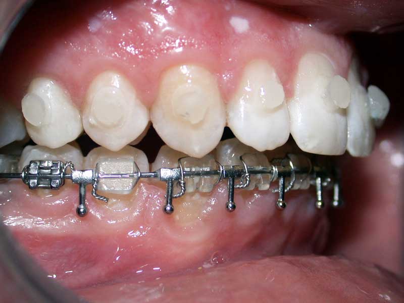
Nous avons positionné de petits boutons transparents afin de maintenir les 2 arcades ensemble pendant la phase de chirurgie.

mâchoires fixées après chirurgie orthodontique
Après la chirurgie, le patient a dû garder les élastiques entre les mâchoires pendant quelques temps, pour les consolider.
Précisons que les technologies ont énormément évolué depuis que ce cas a été traité : il n’est plus nécessaire de garder les mâchoires bloquées maintenant : nous mettons en place des plaques d’ostéosynthèse à l’issue de l’intervention chirurgicale, qui permettent à l’os de se reconstruire sans blocage des mâchoires (voir notre article sur 2 cas de décalage des mâchoires traités avec l’orthodontie).
Photos après chirurgie
Sur ces photos, le patient est encore un peu gonflé des suites de l’opération (mais cela s’estompe rapidement).
Les 2 arcades sont bien l’une en face de l’autre et alignées.
Durée du traitement orthodontique
Pour ce patient, il y a eu 1 an d’appareillage avant chirurgie, puis 2 à 3 mois de finitions après.
Les finitions ont consisté à obtenir une occlusion correcte (un bon emboitement), ainsi qu’une esthétique convenable.
La durée du traitement est bien entendu très variable selon les patients et les malformations de départ.
Des animations en vidéo pour bien comprendre
Cette vidéo, réalisée par nos confrères montre très précisément différents protocoles de chirurgie orthognatique :
Et ci-dessous, plusieurs exemples de chirurgies correctives de la mâchoire :
Si vous souhaitez voir d’autres sources d’information, n’hésitez pas à aller lire cet article qui présente 6 cas courants de traitements orthodontiques et chirurgie de mâchoire.
Cet article rappelle également :
- les raisons qui poussent classiquement un patient à choisir d’effectuer une chirurgie de la mâchoire,
- ainsi que les étapes-clés du déroulement d’un traitement orthodontique avec chirurgie.
N’hésitez pas à nous contacter pour plus d’informations !
Par Cabinet d'Orthodontie,le 27 mai 2015







Bonsoir, je suis à la recherche d’un CHIRURGIEN orthodontiste facial. Si vous en êtes un! Je souhaiterais prendre rdv cordialement
Bonjour,
Je pense qu’il y a une confusion entre
Les 2 travaillent de concert dans le cadre d’un traitement ortho-chirurgical. Vous pouvez me consulter en tant qu’orthodontiste dans ce cadre et nous ne manquerons pas de vous adresser à notre confrère chirurgien maxillo-facial le cas échéant.
N’hésitez pas à nous contacter au cabinet ou à prendre RDV en ligne directement.
Bien à vous,
Bonjour,
La chirurgie orthognatique est-elle obligatoire dans le cas d’un traitement ODF adulte? Ma mandibule n’est ni en retrait, ni trop avancée mais par contre elle est légèrement décalée sur le côté gauche, ce qui a provoqué une luxation discale réductible du même côté. Pensez-vous qu’un traitement ODF sans chirurgie orthognatique puisse résoudre ce problème?
Bien cordialement
Bonjour,
Tout d’abord, il n’est pas certain qu’une chirurgie orthognatique de réaxation permette de résoudre le problème des claquements.
Elle permettra, si vous avez bien la mandibule déviée, de corriger la déviation.
Il est très difficile de vous répondre sans vous voir sur la viabilité d’un traitement non chirurgical.
Bien cordialement,
Dr Issembert
Bonjour
Est-il possible de realiser cette chirurgie avec un appareil invisalign ?
Merci
Bonjour,
Oui, c’est tout à fait possible.
Bien à vous,
Dr Issembert
Bonsoir,
j’ai la mâchoire supérieure plus avancée que celle du bas (j’ai 19 ans) et j’aimerai savoir si je dois obligatoirement passer par une opération? N’y a-t-il pas d’autres solutions juste avec un appareil dentaire par exemple ?
Je vous remercie d’avance
Bonjour,
Merci de votre message.
Cela dépend, il faudrait préciser votre cas, si vous le souhaitez vous pouvez prendre rdv à notre cabinet.
Prendre RDV en ligne
Bien cordialement,
Dr Issembert
Bonjour docteur, je un problème de occlusion dentaire il y a très longtemps, et je souffre beaucoup pasce que je sens beaucoup avec des douleurs où visage et la tête,je dort avec une gouttière et ça me soulage la pression aux maxillaires. Ma mandibule est en retrait et je pense que une cirurgie aurait m’aider beaucoup, j’aimerais savoir c’est est possible prise en charge pour la sécurité sociale ou mutuel? Merci.
Bonjour,
Merci de votre message. En effet il peut il y avoir une prise en charge mais cela va dépendre des cas et de votre mutuelle.
Il est impossible de faire un diagnostic en ligne, aussi je vous invite à venir en consultation au cabinet, ou chez un orthodontiste à proximité de chez vous, afin d’avoir un avis.
Bien cordialement,
Dr. David Issembert
Bonsoir j’ai plus de 16 ans et j’ai dépasser le semestre requis pour les aide malgré tous il n’y aurais pas une autre aide je ne peut pas payer l’opération et j’aimerais vraiment pouvoir la faire qui est un complexe énorme pour moi y’a t’il une solution s’il vous plaît
Bonjour,
Merci de votre message. La sécurité sociale a des règles et n’en déroge pas, en effet…
Bien à vous,
Dr Issembert
Bonsoir
Je suis camerounais résident a Yaoundé au Cameroun. Je suis souffre des claquements des mâchoires depuis des années.
J’aimerais vous contacter pour un traitement.
Merci
Bonjour,
Merci de votre message. Vous pouvez peut-être déjà nous joindre par téléphone pour essayer de voir si un traitement d’orthodontie serait adapté dans ce cas ? Les troubles de ce type ne sont pas forcément du ressort de l’orthodontie, il peut s’agir de troubles musculaires.
Bien à vous,
Dr Issembert
Bonsoir ,
j’ai la mâchoire supérieure plus avancée que celle du bas et j’aimerai savoir si je dois obligatoirement passer par une opération? Et j’ai déjà fait les couronnes pour avoir un beau sourire mais malheureusement j’ai toujours le même problème
Bonjour,
Merci de votre message. En effet, chez l’adulte seule une opération chirurgicale permet de modifier la position des mâchoires. Il faudrait vous voir en consultation pour vous confirmer le diagnostic, et déterminer si vraiment votre souhait esthétique peut être résolu par un traitement ortho-chirurgical et quelles en seront les spécificités.
Bien à vous
Dr Issembert
Bonjour docteur , peut on réaliser se type de traitement à l’aide de gouttière transparente et non de bague « classique »?
Sachant que dans mon cas, j’ai une classe III où il me faudrait d’abord une expension palatine ainsi qu’une chirurgie des mâchoires dans un second temps, mais mes dents sont quand même bien alignés
Bonjour,
Merci de votre message. Tout dépend des habitudes de travail de votre praticien mais dans mon cas celà fait plusieurs années que je travaille avec gouttières + chirurgie pour les traitements avec le Dr Loncle pour la chirurgie, notamment dans le cas de Classe III.
Bien à vous,
Dr Issembert