Décalage entre mâchoire inférieure et supérieure : 2 cas traités différemment en orthodontie
Dans cet article, nous allons vous présenter 2 cas traités différemment pour le même problème. Etrange ? C’est qu’en orthodontie, nous avons plus d’un tour dans notre sac !
Le point commun entre les 2 patientes que nous allons vous présenter est la distance entre le haut et le bas, c’est-à-dire en termes plus techniques, la quantité importante de surplomb.
Dans les deux cas, elle est due à une mandibule – la mâchoire du bas – trop en retrait.
Nous vous avions déjà présenté un article traitant de la prognathie et de la rétrognathie ainsi que leur traitement avec l’orthodontie. Voici de nouveaux cas de traitements orthodontiques, sur des patients adultes cette fois.
2 patients avec une mandibule (mâchoire du bas) trop en retrait
Voici donc 2 patients qui ont une mâchoire du bas trop en retrait par rapport à la mâchoire supérieure.
Dans le cas n°1, le décalage est manifeste avec des dents du haut trop en avant :

Dents du haut très en avant par rapport à la mâchoire inférieure
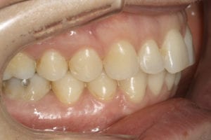
Dans le cas n°2, le décalage s’exprime par des incisives centrales trop tournées vers l’intérieur. Une fois ces dents alignées, le décalage entre les 2 mâchoires deviendra flagrant : on remarquera en effet beaucoup plus que la mâchoire du bas est très en retrait par rapport à la mâchoire du haut

Les incisives sont tournées vers l’intérieur et la mâchoire du bas est très en retrait par rapport à celle du haut
Cas 1 avec chirurgie : des dents trop en avant sur la mâchoire supérieure
Dans le cas n°1, nous avons choisi de traiter le problème « à sa source ». Nous avons donc décidé d’associer au traitement orthodontique une chirurgie d’avancement de la mâchoire du bas.
En 1er lieu, la patiente est traitée en appareillage lingual mixte :
- un appareillage à l’intérieur sur la mâchoire du haut,
- et des bagues à l’extérieur en céramiques en bas.
Le traitement inclut ensuite une phase d’orthodontie pré-chirurgicale où l’on va mettre les dents exactement dans la bonne position afin que le chirurgien ait juste à « faire glisser » la mâchoire du bas vers l’avant.

Après alignement orthodontique et juste avant la chirurgie
Remarque : Nous voyons sur cette photo les boutons pré-chirurgicaux sur les dents du haut : ceux-ci sont placés uniquement la veille de la chirurgie (le chirurgien pose des élastiques qui seront gardés dans les jours qui suivent la chirurgie). Ces boutons ne se voient pas pendant le reste du traitement orthodontique.
Après l’intervention chirurgicale, le décalage entre le haut et le bas est complètement résolu. Aussi, le profil de la patiente, qui était initialement un peu en retrait, est re-dessiné et grandement amélioré !
- Avant chirurgie
- Après chirurgie
- Aucun décalage
Il ne reste alors que 3 à 4 mois de « finitions orthodontiques » où l’on va peaufiner l’alignement ainsi que le rapport entre le haut et bas pour obtenir un parfaitement engrènement – ou emboitement – du haut et du bas.
Plus d’information sur la phase de chirurgie
Parlons un peu de cette chirurgie qui effraie tant, que ce soit les patients adultes ou bien encore les parents pour leurs enfants !
Précisons que les technologies ont grandement évolué depuis les années 80 : il n’est désormais plus nécessaire de rester avec les mâchoires bloquées pendant 3 mois !
Grâce aux avancées technologiques, nous sommes désormais capables de mettre en place des plaques d’ostéosynthèse à l’issue de l’intervention chirurgicale. Celles-ci vont permettre à l’os de se reconstruire sans blocage des mâchoires.
Résultat, les suites post-opératoires consistent essentiellement en :
- un oedème impressionnant – mais pas douloureux – qui dure 15 jours,
- et un inconfort lié à ce même oedème.
Il n’y pas de douleurs comme après une extraction de dents de sagesse. Tout au plus des élancements dans les dents comme au début de l’appareillage orthodontique. Par ailleurs, ces élancements cèdent très bien aux antalgiques.
Enfin, certains patients peuvent éprouver une légère diminution de la sensibilité de la lèvre inférieure : celle-ci est transitoire et les patients retrouvent leur sensibilité au bout de 6 mois au maximum.
Voici enfin des photos de notre patiente après les quelques mois de finitions orthodontiques (après l’avancement de la mâchoire du bas) :

Fin de traitement (après chirurgie et orthodontie)
Cas 2 sans chirurgie : des incisives trop tournées vers l’intérieur
Dans ce 2ème cas, nous aurions pu également avancer sa mâchoire du bas à l’issue de la phase de pré-alignement orthodontique pour résoudre le décalage. Mais cette patiente n’avait pas le temps de prendre 15 jours de vacances (période pendant laquelle la patiente aurait été très gonflée).

Fin de préalignement orthodontique – cas de décalage des mâchoires
Nous avons donc décidé de faire un traitement dit « de compromis ».
On l’appelle de compromis non pas parce qu’il est de moins bonne qualité que le 1er traitement présenté, mais tout simplement parce qu’il ne résout pas l’origine du problème : la mâchoire du bas en retrait.
Nous avons donc décidé, à l’issue de quelques petites « retouches », de laisser le résultat tel quel, car cela répondait à la demande esthétique de notre patiente.
Se pose alors la question essentielle de la stabilité. En effet, avec un tel décalage laissé entre le haut et le bas, les dents vont naturellement aller chercher des contacts entre le haut et le bas (cas des dents trop tournées vers l’intérieur). Ou bien les dents vont tout simplement aller se chevaucher de façon un peu anarchique, en cherchant tant bien que mal à compenser le problème squelettique par le positionnement dentaire.
La solution du fil de contention vient alors à l’esprit. Celui-ci est collé sur la face interne des dents, de canine à canine en haut et en bas, et il permet d’éviter l’apparition de chevauchements dans le temps (puisqu’avec l’âge, la distance de canine à canine diminue inéluctablement).
Manque de chance, le fil de contention ne tient pas les mouvements verticaux qui nous gênent tant ici.
Ainsi, pour éviter que les dents ne rebasculent vers l’intérieur (puisqu’on laisse un décalage entre le haut et le bas), nous sommes obligés d’associer aux fils de contention des gouttières en plastique.
Confortables et invisibles, elles sont portées seulement la nuit, 2 à 3 nuits par semaine, à vie.
Rétrognathes : quel traitement orthodontique vous convient ?
Alors, avis à nos lecteurs rétrognathes, c’est-à-dire avec la mâchoire en retrait : 15 jours d’oedème ou bien des gouttières 2 à 3 fois par semaine ?
Le choix du traitement orthodontique vous est laissé 🙂
Remarque : Cet article n’a pour but que de présenter et vulgariser le plan de traitement conçu pour ces deux cas. Chaque cas est unique et cet article, purement informatif, ne saurait en rien remplacer un diagnostic avec le praticien.
Toute l’équipe médicale du cabinet d’orthodontie vous souhaite un excellent été et vous prie de bien vouloir noter que le cabinet d’orthodontie sera fermé du 10 au 20 août inclus.
Très bel été à tous ! 🙂
Par Cabinet d'Orthodontie,le 29 juin 2017




Bonjour,
Je voudrais savoir si les soins dentaires sont compris dans le traitement ?
Bien cordialement,
Bonjour,
Merci pour votre message.
Les soins dentaires ne sont pas compris dans le traitement : nous sommes en effet spécialistes en orthodontie.
Bien à vous,
Dr Issembert
Bonjour
quelles sont les causes d’une mâchoire qui « claque » d’un côté? et les éventuelles conséquences. ce qui amène la question suivante : comment y remédier?
dernière chose, est-ce que ce phénomène peut provoquer des soucis d’élocution et articulation?
la prise de rdv est-elle rapide?
merci
Bonjour,
Merci de votre message.
Les causes sont essentiellement musculaires, et seule une relaxation musculaire par des gouttières portées la nuit, des massages de kinésithérapie peuvent apporter un soulagement.
A priori pas de souci d’élocution et d’articulation.
Bien cordialement,
Dr Issembert
Bonjour, a partir de quel âge la chirurgie peut elle être envisagée ?
Bonjour,
Merci de votre message.
A partir de l’âge de 12 ans.
Bien cordialement,
Dr Issembert
Bonjour, sur la photo du cas 2 après le traitement, quelle serait la distante en mesure entre l’arcade du haut et du bas ? Et que devrait être la mesure minimale entre l’arcade du haut et du bas ?
Merci
Bonjour,
Merci de votre message.
Il s’agit d’un surplomb de 7mm avant chirurgie, et après la chirurgie il n’y a plus de surplomb.
Cordialement,
Docteur Issembert
Bonjour, svp quelle solution à envisager pour un enfant de 4ans,mâchoire inférieur trop en retrait ? Merci de votre réponse
Bonjour,
Merci de votre message.
Pour un traitement chez l’enfant, il faut attendre 7-8 ans et seulement dans le cas d’un gros décalage, sinon 12 ans. Il faudra utiliser un traitement interceptif.
Bien cordialement,
Dr Issembert
Bonjour,
Merci pour les informations présente sur votre site,
Je suis dans le cas numéro 1, mandibule en retrait (10mm en prenant sur l’alignement des dents du haut).
Je porte gouttière de jour et gouttière de nuit afin de ramener ma mandibule dans une position la moins contraignante pour les articulations.
Cependant après 1 an de traitement, je souffre toujours de douleurs et raideurs au niveau des cervicales, vertiges occasionnels etc…
Ma question est la suivante: Un traitement orthodontique et/ou Chirurgie est il envisageable dans mon cas, et apportera t il un traitement définitif sur l’ensemble de la chaine musculaire (Cervicales..). J’ai 40 ans.
Merci par avance
Cordialement
YG
Bonjour,
Merci de votre message.
Oui, dans le cas d’un fort décalage un traitement chirurgical est possible mais pas il n’y a pas de lien avéré entre la réalisation d’un traitement d’orthodontie et l’atténuation des troubles ATM. L’amélioration est seulement esthétique et permet d’avoir une bonne occlusion.
Bien cordialement,
Dr Issembert
Bonjour,
J’ai porté un appareil de 12 à 15 ans, avant ma mâchoire du bas etait reculée etma mâchoire du haut Avec les dent en avant de « cheval », apres m’avoir retirer l’appareil on ne m’a jamais parlé de chirurgie.
Aujourd’hui j’ai 26 ans j’ai de plus en plus de pb d’élocution et de respiration surtout la nuit. Je ne pense pas placer ma langue correctement malgré la rééducation que j’avais eu Avec une orthophoniste.
Je remarque que ma mâchoire inférieure se recule de plus en plus Et je n’ai presque pas de menton Mais mes dents du haut sont tjs bien alignées.
Je viens juste de découvrir qu’une chirurgie existait pour ca mais je suis adulte et je n’ai plus d’appareil depuis longtemps alors j’ai pris rendez vous au dentiste parler de tout ca savoir si je risque de porter un appareil ou Si je peux avoir recours à cette opération sans re porter d’appareil. Qu’en pensez vous ?
Merci.
Bonjour,
Merci de votre message.
Cela dépend, il faudrait préciser votre cas pour savoir quel type de traitement est envisageable. Si vous le souhaitez vous pouvez prendre rdv à notre cabinet.
Prendre RDV en ligne
Bien cordialement,
Dr Issembert
Bonjour Docteur Issembert,
J’ai suivi un traitement invasilight pendant 2 ans, puis gouttières de contention et non suivi de l’orthodontiste qui s’est arrêté pour maladie.
J’ai demandé un devis pour des gouttières de contention suite à la casse de l’une d’elles et on me propose à nouveau un traitement de 12 mois.
Est-il possible avec vous de faire un traitement pour la dentition du bas seulement sur 6 mois (certainement suffisants), car la dentition du haut va bien, très peu d’action faite et à faire.
Merci de votre retour car je ne veux pas recommencer un traitement d’un an à 3400€. J’ai déjà dépensé 4000€ avec mon premier traitement + gouttières de contention avec le médecin remplaçant qui finalement a fermé le cabinet au bout d’un an. Merci
Bonjour,
Il est malheureusement souvent difficile de traiter seulement une arcade.
Bien cordialement,
Dr. Issembert
Bonjour voilà j ai 33 ans moi j ai eu un accident a mes 18 ans ont m as pousser par derrière et je suis tomber de face parterre de ma hauteur j ai eu les deux dent de devants casser et ma mâchoire de travers on m as mit des pivot mais pour ma mâchoire rien maintenant avec l age ça se voit de plus en plus c est vraiment de travers ke pouvez vous me conseil car pour moi je suis défigurer merci
Bonjour,
Vous pouvez venir en consultation pour voir si vous pouvez faire l’objet d’une prise en charge ortho-chirurgicale.
Si vous n’êtes pas en région parisienne, je vous invite à vous rapprocher d’un orthodontiste dans votre région.
Bien Cordialement,
Dr. David Issembert
Bonjour je souhaiterais me faire mettre un appareil dentaire en étant plus petite on m’avais proposer une opération pour avancer ma mâchoire du bas qui etait en retrait par rapport à celle du haut j’ai les dents du haut en avant est il possible de refuser l’opération et avoir recours juste à un traitement par appareil dentaire car allaitant mon enfant je ne peux pas partir me faire opéré
Je vous remercie bonne soirée
Bonjour,
Merci de votre message.
Il est toujours possible de refuser l’opération, mais l’effet du traitement sera sans doute différent. Il faut voir avec votre orthodontiste ce qui est envisageable. Il est possible qu’il vous propose un traitement avec ou sans opération de la mâchoire, mais cela dépendra de votre cas. Je ne peux me prononcer à distance.
Bien à vous,
Dr. David Issembert
Bonjour,
Je présente exactement le même cas que cité ci-dessus. La chirurgie me terrifie. Cela veut dire que j’ai une petite chance que l’orthodontiste que j’ai déjà vu une fois, accepte le compromis ?
J’ai toujours eu la mâchoire en retrait, mais pas de gène au niveau mastication, ni douleur d’aucune sorte, c’est juste que depuis quelques semaines, mes incisives du haut semblent encore avoir reculées, du coup, elles ne passent plus devant les dents du bas, d’où gène.
Bonjour,
Merci de votre message.
Je comprends votre sentiment. Chaque cas étant différent, et ne pouvant me prononcer pour mon confrère, je vous invite à réaliser un premier rendez-vous de devis auprès d’un ou plusieurs orthodontistes. Il n’est pas possible en effet de se prononcer à distance, et il faut une vraie prise en charge en cabinet.
Bien à vous,
Dr. David Issembert
Bonjour j’ai exactement la même chose que le cas numéro 2 et je voulais savoir si je met juste des bagues pour replacer mes dents mais rien pour la machoire en retrait cela va til avoir un impact sur le replacement de mes dents ? et si je veux remettre ma machoire du bas en place sans avoir à porté un appareil à vie quel est la solution suis je obligé de passer par la chirurgie ?
Bonjour,
Merci de votre message.
Afin de ne pas avoir un appareil à porter à vie la nuit, il vous faudrait faire une chirurgie d’avancement de la mâchoire du bas. Si vous faites un traitement sans chirurgie, vous aurez des dents alignées mais conserverez un écart entre le haut et le bas.
Cordialement,
Docteur Issembert
Bonjour docteur, mon fils de 12 ans vient d’avoir un avis pour un traitement orthodontique. Il a les dents du haut très en avant » cheval » très visible sur la radiographie. On peut passer un doigt entre les dents du haut et du bas. Le praticien souhaite agrandir l’arcade inférieure. Il semblerait qu’en faisait cette manipulation les deux mâchoires auraient une bonne correspondance. J’ai trois inquiétudes. Une, esthétique, que la peau soit trop tendu, tiré trop sur la lèvre et de façon extrême gène la fermeture des lèvres. Deux, que les dents en avant sur lesquelles on n agira pas soient trop exposées aux choc. Trois que la gencive du bas soit trop affinée et soit sujette plus tard au déchaussement. Qu’en pensez-vous? J habite en IDF.
Bonjour,
Merci de votre message.
Je ne peux pas faire de diagnostic à distance. Si vous pensez nécessaire d’obtenir un avis complémentaire à celui de mon confrère, vous pouvez vous rapprocher d’un autre orthodontiste afin qu’il réalise un diagnostic.
Bien cordialement,
Dr. Issembert
En cas de machoire inférieure qui sort vers l exterieur et une certqine superposition des dents des deux machoires ? Y a til un traitement orthodontique ou autres instructions chirurgicales ou Paramédicales à suivre ?
Bonjour,
Merci de votre message.
Je vous invite à prendre rendez-vous afin de pouvoir analyser l’état de vos dents et répondre à vos questions. Il n’est pas possible de diagnostiquer en effet sur la base d’une simple description textuelle.
Bien cordialement,
Dr. Issembert
Bonjour, j’ai 15 ans et je porte un appareil dentaire depuis un peu plus d’un. Cela fait maintenant 2 mois que je porte des élastiques car j’ai les dents du haut en avant par rapport à celle du bas, ce qui empêche de fermer la bouche. Mon orthodontiste m’a dit que je ne pourrais jamais fermer la bouche sans forcer, et ça me dérange vraiment. Je n’ai pourtant que 5 mm d’écart… Y a t’il encore une chance que je puisse fermer la bouche correctement à la fin du traitement ?
Bonjour,
Merci de votre message. Sans doute le diagnostic de votre orthodontiste est il le plus fondé, étant donné qu’il vous a vu en consultation. Bien sûr, vous pouvez cependant prendre rendez-vous chez un autre confrère afin d’avoir un avis complémentaire.
Bien cordialement,
Dr. Issembert
Bonjour,
Je souffre de douleurs à la mâchoire (côté droit) irradiant dans l’oreille et d’apnée du sommeil qui me provoquent des vertiges le matin.
Ma mâchoire du bas est en retrait, provoquant une occlusion.
Ma question est la suivante :
Un traitement orthodontique avec chirurgie suffirait-il à supprimer les douleurs de la mâchoire définitivement ? …
Une chirurgie à 50 ans est-ce envisageable et souhaitée, ou déconseillée, dans mon cas ?
Merci d’avance pour votre réponse.
Bien cordialement.
Mme F.V.
Bonjour,
Merci de votre message. Les douleurs que vous décrivez de type ATM, ne sont pas liées à l’occlusion mais sont le plus souvent musculaires, un peu comme des courbatures des muscles autour des mâchoires suite à un serrement. Une chirurgie orthognatique ne permet en rien de soulager ces douleurs. Il faut davantage envisager des séances chez un kinésithérapeuthe maxillo-facial pour soulager les douleurs et détendre les muscles. Les traitements d’orthodontie permettent de corriger la position des dents et des mâchoires (si le patient est encore en croissance, ou alors s’il est adulte il faut une chirurgie pour corriger la position de la mâchoire). Mais ils n’ont pas d’autre visées que cette dernière et ne permettent pas d’effacer les douleurs aux articulations temporo-mandibulaires.
Bien cordialement,
Dr. Issembert
Bonjour,
Mon fils a une retrognathie assez importante mais nous trouvons l’operation trop lourde. Y aurait-il une solution de compromis pour lui?
Bonjour,
Merci de votre message. Comme l’article le montre, pour un individu ayant terminé sa croissance, il est tout à fait possible de réaliser un traitement qui va répondre à une demande esthétique en obtenant un meilleur alignement par exemple, mais s’il s’agit de réellement avancer la mâchoire du bas, seule une opération chirurgicale est envisageable.
Bien cordialement,
Dr. Issembert
Bonjour
Je suis désespérée
J’ai eu un traitement orthodontique pendant mon adolescence qui a duré plus de 3 ans pour réaligner toutes mes dents
Aujourd’hui j’ai 22 ans et je trouve mon menton super en retrait de profil et en me renseignant et en regardant mes dents je trouve qu’il y a un gros décalage entre celle du haut et celle du bas (ma mâchoire du bas et en retrait par rapport à celle du haut) ce qui provoque un profil inesthétique
Vais-je avoir encore besoin d’un traitement alors que mes dents sont droites?
Je ne sais plus quoi faire je suis perdue
Merci d’avance
Bonjour,
Merci de votre message.
Cela dépend s’il s’agit d’une indication d’avancement mandibulaire (en quel cas il faudra une phase d’orthodontie préalable à la chirurgie) ou s’il s’agit simplement d’une indication de génioplastie (avancement du menton) qui peut se faire de façon totalement indépendante d’un traitement d’orthodontie. Il se peut aussi que votre cas réponde aux deux indications simultanément. Je vous invite à consulter un orthodontiste afin d’obtenir un diagnostic.
Bien cordialement,
Dr. Issembert
Bonjour,
Je sors d’un traitement d’orthodontie. Qui devais avoir pour but d’avancer mes dents du haut. Car je trouvais que l’ensemble de mes dents rentraient vers l’intérieur et que ma mâchoire était trop étroite. Résultat au bout de deux ans de traitement rien qui est changé, toujours au même point. Dois-je passé par une chirurgie pour avoir le résultat que je souhaite ? Sachant que je ne suis pas contre tant que j’obtiens le résultat souhaité !
Bonjour,
Merci de votre message. Il est impossible de répondre en l’état sans éléments cliniques précis.
Bien à vous,
Dr. David Issembert
Bonjour, des orthodentistes m’ont dit que j’ai un décalage de la machoire du bas par rapport à celle du haut, sauf que j’hésite trop pour la chirurgie par crainte que mon profil change.. et je trouve que ca ne me gène pas du tout le fait que ca soit un peu décalée..
sauf que la nuit je n’arrive pas à dormir la bouche fermée .. donc je me demandais si ca peut avoir un lien avec ce décalage svp?
Bonjour,
Merci de votre message. A priori un traitement sans chirurgie ne pourra pas résoudre votre problème en effet. Quand au profil, par définition il va changer légèrement, mais tout est une question de mesure.
Bien cordialement,
Dr. David Issembert
Bonjour,
Pour une adolescente de 15 ans qui a une machoire inférieure un peu en retrait mais des dents bien alignées, elle aurait cependant absolument besoin de bagues selon son dentiste.
Le problème c’est qu’elle est trompettiste (élève au conservatoire) et ne peut porter de bagues.
Existe-t-il une alternative aux bagues ? J’ai téléphoné à trois orthodontistes qui me disent qu’il n’y a pas d’autres solutions efficaces.
Merci de votre réponse,
cordialement,
Bonjour,
Merci de votre message. Nous traitons aussi des adolescents avec des gouttières Invisalign, c’est une solution qui peut être tout aussi efficace mais demande une bonne connaissance de la technique. Elle pourra enlever les gouttières lorsqu’elle joue. Pourriez-vous venir en rendez-vous au cabinet afin de voir si ce traitement est possible dans ce cas ?
Bien cordialement,
Dr David Issembert
Bonjour
Ma Machoire ressemble au cas n2
J’aimerais d’avancer mes dents qui sont aussi tournée vers l’intérieur
Mais un dentiste la dit que sa aller faire dent de lapin et que j’allais me mordre les lèvres
Y’a ti l d’autres solutions?
Cordialement
Bonjour,
Merci de votre message. « Dents de lapin » est un terme assez subjectif, mais si votre cas est similaire au cas n°2, il est tout à fait possible de réaliser – ou non – une chirurgie. Dans le cas montré ici, le patient a choisi de ne pas faire de chirurgie mais le résultant est cependant satisfaisant. Afin de pouvoir vous répondre plus précisément sur votre cas, il faudrait cependant vous voir en consultation.
Bien cordialement,
Dr. David Issembert
Bonjour j’ai consulter un chirurgien car j’ai le menton fuyant, il m’a dit qu’il fallait que je débute avec un traitement orthodontique et les extractions des deux premières prémolaires.. en sachant que j’ai des très belles dents bien alignées et droite que va m’apporter un traitement orthodontiste vu que le travail est déjà fait ? Concernant l’extraction des deux premières prémolaires du bas ça va donner un trou après c’est pas très esthétique
Bonjour,
Il est difficile de juger un cas de ce type sur la base d’un commentaire. Afin de pouvoir vous répondre il faudrait vous voir en consultation, si vous souhaitez avoir un avis complémentaire.
Bien cordialement,
Dr. David Issembert
Bonjour,
Je souffre d’une malocclusion dentaire de « classe 3 ».
Après consultation d’un orthodontiste, celui-ci refuse de me soigner sans chirurgie préalable de la mâchoire. J’ai demandé à ce qu’il me propose un traitement de « compromis » pour redresser mes dents sans opération (c’est-à-dire incliner mes dents du bas pour compenser le fait que ma mâchoire du bas soit trop en avant) mais il m’oppose son Code de déontologie.
Un orthodontiste peut-il refuser des soins pour un motif déontologique juste parce qu’il est trop perfectionniste et refuse tout traitement de « compromis » ?
Pensez-vous que je puisse trouver un autre orthodontiste qui me proposera un traitement de « compromis » ou bien la réponse sera-t-elle la même pour tous ?
J’estime qu’une chirurgie de la mâchoire est trop risquée et trop lourde pour mon cas et que le rapport risques-résultats ne vaut pas le coup.
Merci pour votre avis éclairé.
Bien cordialement.
Daniel.
Bonjour,
Merci de votre message. Si le traitement proposé ne vous convient pas, vous pouvez prendre d’autres avis auprès d’autres orthodontistes. N’hésitez pas à prendre rendez-vous au cabinet, nous pourrons voir ce qu’il est possible de faire en fonction de vos souhaits.
Bien à vous,
Dr. David Issembert
Bonjour,
J’ai un problème je crois…
Il y a 5 semaines que j’ai mis un appareil dentaire juste en haut et il y quelques jours je remarque que la mâchoire du haut commence à se décaler petit à petit vers la droite.
Dans 3 semaines je vais mettre un appareil dentaire en bas.
Dites moi svp ce décalage est-il normal?
Bonjour,
Merci de votre message. Je vous invite à vous rapprocher de votre orthodontiste, qui vous suit et a réalisé le plan de traitement. L’impression que vous avez n’est peut-être pas fondée.
Bien à vous,
Dr. David Issembert
Bonjour ,
J’ai suivi un traitement orthodontique il y a 10 ans avec un appareil supplémentaire a porté le soir pour ma mâchoire en avant . Aujourd’hui mes dents sont alignés mais ma mâchoire supérieure est toujours en avant . Pensez vous qu’il est possible de traiter le problème sans passer la case chirurgie ?
Bonjour,
Merci de votre message.
Quand il y a encore de la croissance, il est possible de faire quelque chose sans passer par la chirurgie. Mais chez l’adulte, seule une chirurgie peut modifier la position ou la forme de la mâchoire. Cependant, il est parfois possible de faire des traitements de compromis.
Bien à vous,
Dr David Issembert
Bonjour Dr,
Je souhaiterais savoir le prix approximative d’une chirurgie de mâchoire du bas trop avancé ainsi qu’un alignement des dents, car j’ai déjà consulté un orthodontiste qui m’a confirmé cette méthode pour mon cas merci.
Bonjour,
Merci de votre message. Le prix peut varier selon le type d’opération, mais aussi en fonction du chirurgien. Je vous conseille donc de demander à l’orthodontiste que vous avez vu les prix du chirurgien avec qui il travaille, et de vous renseigner directement auprès d’autres chirurgiens en consultation si vous le souhaitez.
Bien à vous,
Dr Issembert
bonjour monsieur j’ai eu un appareil a 16 ans pour corriger le fait que la mâchoire du bas était trop avancer (prognathe) cela a marcher mais maintenant je viens d’avoir 18 ans et cela est repartis comme avant et j’ai meme peur que si cela continue à avancé es ce possible ? que dois je faire ? j’ai vu sur beaucoup de sites la chirurgie mais ca me fait peur.
Bonjour, merci de votre message. En effet seule la chirurgie peut réellement corriger une prognathie. Au cabinet, nous traitons de nombreux cas avec prognathie et c’est une opération dont les patients se remettent très rapidement et parfois même sans aucune douleur.
Bien à vous,
Dr David Issembert
Bonjour,
Votre site et vos conseils sont très éclairants!! Je suis face à un choix à faire pour mon enfant de 12 ans qui présente un décalage des mâchoires de 7mm et pour qui on me conseille de la chirurgie malgré le fait qu’elle n a aucune gêne fonctionnelle ni esthétique, cet écart est-il si important que la case chirurgie vous semble inévitable ? Ou la question n’est qu’esthétique?
Merci de m avoir lu!
Bonne journée, cordialement!
Bonjour,
Merci de votre message ! Je ne peux pas vous répondre ici car il me faudrait voir votre fille en consultation. La chirurgie est toujours évitable, tout dépend de ce que l’on souhaite, tout dépend aussi de l’âge et du stade de croissance. N’hésitez pas à venir en consultation si vous le souhaitez, cela permettra d’avoir un avis véritable.
Bien à vous,
Dr Issembert
Bonjour,
J’ai commencé un traitement invisilign en vue d’une opération des deux mâchoires (avancer celle d’en bas et recouvrir mes gencives en haut).
Je viens d’avoir mes premiers aligneurs et j’ai décidé de ne plus vouloir cette opération. Est-ce que le traitement invisalign doit être modifié étant donné que je ne ferai pas la chirurgie ?
Bonjour,
Merci de votre message. Il faut voir votre orthodontiste, pas forcément mais ça dépend de son plan de traitement.
Bien à vous,
Dr Issembert
Bonjour,
J’ai appareil dentaire depuos presque 2ans (délai prévu depuis le départ). Donx je dois retirer l’appareil dentaire sauf que j’avais un décalage de la machoire inférieur et je le constate toujours ! De plus la partie inférieure n’est forcément bien aligné en hauteur… Et donc je ne suis pas satisfaite sauf que je ne sais pas que mon cas est si compliqué pour que j’arrive pas à atteindre le bon résultat…que me conseillez vous ?
Merci
Cordialement
Bonjour,
Merci de votre message. Vous évoquez deux éléments qui ont trait à la position de votre mâchoire. Les bagues ne peuvent pas modifier la position de la mâchoire, et une fois la phase de croissance terminée, à l’âge adulte, seule une chirurgie maxillo-faciale peut modifier la position de la mandibule ou du maxillaire. Vous pouvez vous adresser en ce sens à votre orthodontiste, qui a probablement un correspondant chirurgien maxillo-facial.
Bien cordialement,
Dr Issembert
Bonjour Docteur, svp est ce que vous pourriez m’expliquer ce que c’est « la phase de pré-alignement orthodontique » que vous avez mentionné dans le cas 2, car j’ai exactement le même problème, mes 2 dents incisives du haut sont tournées vers l’intérieur, et la mâchoire du bas est un peu en retrait, l’orthodontiste m’a recommandé de voir un chirurgien pour une avancée mandibule et dérotation à droite , sauf que je ne veux pas faire de chirurgie, il ne m’a pas parlé de cette phase de pre-alignement!! Je vous remercie Docteur.
Bonjour,
Merci de votre message. Dans le cadre d’un traitement ortho-chirurgical il y a trois phases :
– le pré-alignement
– la chirurgie
– la fin du traitement.
Le pré-alignement correspond simplement à la période d’alignement des dents, avant la chirurgie, et avant les finitions. Il est tout à fait possible à l’issue de cette période de ne finalement pas faire la chirurgie.
Bien à vous,
Dr Issembert
Bonjour Dr,
ma fille a un appreil dentaire posé à l’étranger. Maintenant nous sommes en France est son traitement n’est encore tout à fait terminé.
Elle veut continuer le traitement avec invisaligne et enlever ses bagues.
Est ce que c’est possible d’après vous ?
Bonjour,
Merci de votre message. Oui c’est tout à fait possible, c’est comme si vous partiez sur un nouveau traitement car il faut tout refaire : empreintes, plan de traitement, gouttières, et enlever les bagues. Nous le faisons régulièrement.
Bien à vous,
Dr Issembert
Bonjour docteur , je suis avec une malocclusion importante classe II faut t il envisager obligatoirement une chirurgie ou les bagues améliorons déjà le gros décalage ? Merci de votre retour
Bonjour,
Merci de votre message. Si vos dents du haut sont en avant, il sera possible de réduire l’espace entre les dents du haut et du bas en redressant les dents du haut par exemple. On peut obtenir ainsi un résultat plus esthétique, sans pour autant corriger la classe II. Mais ce n’est pas toujours possible, il faudrait vous voir en consultation pour vous dire, et le résultat envisageable ne correspondra pas forcément à vos attentes, là aussi nous pourrons vous montrer l’évolution à prévoir en consultation.
Bien à vous,
Dr Issembert
Bonjour ,
Lorsque se produit une latérodéviation mandibulaire qui provoque une instabilité dentaire et rend les incisives de l’arcade inférieur obliques , est-il possible sans chirurgie de verticaliser ces dernières pour qu’elles retrouvent plus ou moins leur position initiale ? J’ai achevé un traitement orthodontique mais 3 de mes incisives restent un peu inclinés (j’ai une occlusion croisée postérieure) . Je présume que quand la mandibule se décale trop , la recherche d’un articulé dentaire fonctionnel par l’orthondontiste n’est pas forcément compatible avec un redressement parfait des dents inclinés . Merci d’avance pour vos éclaircissements.
Bonjour,
Merci de votre message. Votre analyse est assez juste, on arrive bien souvent à nettement corriger l’inclinaison des incisives voire la corriger intégralement juste orthodontiquement mais dans certains cas une chirurgie peut aider à compléter la situation. Néanmoins si la correction est satisfaisante, la chirurgie est peut-être excessive.
Bien à vous,
Dr Issembert
Bonjour,
Merci pour ce site très intéressant.
Vous indiquez dans les commentaires qu’à la fin de la phase de préalignement des arcades pour la préparation de la chirurgie, le patient peut finalement choisir de ne pas faire la chirurgie (pour la rétrognathie).
C’est une position très intéressante et atypique. Il est, en effet, souvent dit au patient qu’il ne peut plus reculer, que la chirurgie est nécessaire à la stabilité de l’alignement, et que, sans opération, les dents reprendront leur place antérieure, rendant le traitement complètement inutile.
1. La phase de préparation des arcades consiste à accentuer le décalage entre les arcades et l’occlusion est alors plus mauvaise qu’avant le traitement. Est-il donc possible pour le patient d’arrêter à ce moment-là et de garder cette position, moyennement satisfaisante pour l’occlusion, mais satisfaisante pour l’alignement ? La (double) contention pourra-t-elle maintenir les résultats, et ce, à vie ?
2. Est-ce qu’on est alors dans le cas de rétrognathie traité ici sans chirurgie ? Le plan de traitement orthodontique serait-il le même, que la patiente choisisse la chirurgie ou la double contention à vie ?
3. Quelle est la stabilité dans le temps du cas traité sans chirurgie, avec maintien du surplomb et la double contention ? Cela peut-il rester stable à vie ?
4. Quel est le décalage squelettique du cas 2 ? 7 mm ?
5. En cas de très légère asymétrie en plus du décalage, ce traitement sans chirurgie fonctionne-t-il également ? L’asymétrie est maintenue, je suppose ?
Merci pour votre éclairage,
Rosemary
Bonjour, merci pour votre message.
1. Ce n’est pas exactement le cas. Le plus souvent, cette décompensation n’est pas très marquée et, en cas de renoncement à la chirurgie, le traitement est finalisé de manière à compenser a minima le décalage entre les mâchoires. Mais oui, si le résultat esthétique convient, on l’améliore encore un peu. La double contention pourra maintenir les résultats à vie.
2. Non, ce n’est pas le même traitement. Si la personne est hésitante ou qu’elle veut se donner la possibilité, on la traite comme si elle voulait la faire. Si elle se décide finalement à ne pas faire la chirurgie, la finition est réalisée différemment, notamment avec du stripping pour réduire un peu le décalage et une coordination différente des arcades car la position est différente s’il n’y a pas de chirurgie finalement.
La personne peut donc confirmer ou infirmer son choix mais nous procédons quand même à une finition différente pour optimiser le résultat (esthétiquement et pour la stabilité).
3. Oui, environ.
4. Oui, elle est maintenue. Le traitement fonctionne également.
Bien à vous,
Dr Issembert
Bonjour,
Le traitement orthodontique est-il le même dans les deux cas ?
Cela veut dire qu’un patient rétrognathe (du moins avec ce type de décalage) peut confirmer ou infirmer son choix pour la chirurgie à la fin de la phase de réalignement dentaire et de préparation des arcades, choisir de maintenir le surplomb et de ne pas faire la chirurgie ?
Qu’appelez-vous les petites retouches ?
Quelles gouttières utilisez-vous pour la contention en plus du fil ?
Avec la double contention, l’alignement est-il stable dans le temps ?
Merci pour cette présentation.
Roselia
Non, ce n’est pas le même traitement. Si la personne est hésitante ou qu’elle veut se donner la possibilité, on la traite comme si elle voulait la faire. Si elle se décide finalement à ne pas faire la chirurgie, la finition est réalisée différemment, notamment avec du stripping pour réduire un peu le décalage et une coordination différente des arcades car la position est différente s’il n’y a pas de chirurgie finalement.
La personne peut donc confirmer ou infirmer son choix mais nous procédons quand même à une finition différente pour optimiser le résultat (esthétiquement et pour la stabilité). Nous utilisons soit des gouttières ESSIX soit des gouttières Vivera. La double contention permet un alignement stable dans le temps.
Bien à vous, Dr Issembert
Bonjour,
Merci pour ces précisions sur les deux cas traités. C’est très intéressant.
1. Le stripping est-il obligatoire pour les finitions du cas 2 ou un positionnement un peu différent des arcades est-il suffisant ?
2. En cas de stripping pour les finitions avec maintien du surplomb, la personne pourra-t-elle faire la chirurgie plus tard, par exemple une dizaine d’années après, si elle le décide ou si c’est nécessaire ? Ou le stripping effectué sera-t-il un obstacle ?
3. Dans ce cas-là, je suppose qu’il faudrait effectuer un nouveau traitement orthodontique pour rétablir les arcades en position préchirurgicale ?
Merci pour votre éclairage,
Rosemary
Bonjour Rosemary,
Pourriez-vous venir en consultation afin de pouvoir vous répondre avec plus de précision et de manière adaptée à votre cas ?
Bien à vous,
Dr Issembert
Bonjour Docteur,
À mes 17 ans, en 2017, j’ai suivi un traitement orthodontique consistant aux port de bagues et élastiques puis aux gouttières. Ce traitement visait à aligner mes dents et à corriger l’avancement de ma mâchoire du haut par rapport à celle du bas.
Aujourd’hui, je constate que mon visage de profil paraît très reculé avec notamment une mâchoire du bas peu avancé. En comparant des photos, j’ai pu constaté que ma mâchoire du haut qui était auparavant bien avancé est maintenant plus reculé.
Durant mon traitement orthodontique, je n’ai pas eu le choix d’une chirurgie d’avancement mandibulaire.
– Est-ce que le fait d’avoir ajouter cette opération à mon traitement aurait éviter que mon visage de profil soit aussi reculé aujourd’hui ?
– Quels seraient mes solutions aujourd’hui pour avancer mon profil ?
Merci d’avance pour votre réponse,
Bonjour,
Merci de votre message. Ca dépend des cas, et une opération comme celle-ci, même lorsqu’elle peut être réalisée, n’est pas toujours proposée dans le cadre d’une amélioration uniquement esthétique, car elle peut être assez lourde chez le patient. Il faudrait vous voir en consultation pour pouvoir juger sur la base de la situation actuelle. Peut-être qu’un traitement ortho-chirurgical avec avancée de la mâchoire du bas est indiquée, peut-être seulement un traitement d’orthodontie avec génioplastie, peut-être uniquement de l’orthodontie… il faudrait vous voir en consultation.
Bien à vous,
Dr David Issembert
Bonjour,
Combien de temps a duré la phase de pré-alignement du cas 2 ?
J’ai exactement le même problème que ce patient, cependant j’ai eu un appareil dentaire de mes 11 à 14 ans et le praticien n’a jamais évoqué un quelconque problème de rétrognathie au cours/à la fin du traitement. Mes incisives ont commencé à se tourner vers l’intérieur à 17 ans après l’arrêt du port de l’appareil de contention. Est-ce un problème qui s’est développé après la fin de mon traitement orthodontique ou a-t-il toujours été présent ? Aurait-il pu être évité si je n’avais pas cessé de porter mon appareil de contention ?
Merci
Bonjour,
Merci de votre message. L’appareil de contention a pour objectif de maintenir les dents après le traitement, toute la vie. Son retrait met donc face au risque que les dents bougent, ce qui se passe naturellement un jour ou l’autre.
Chaque cas est très différent et une simple description ne me permet pas de juger, il faudrait vous voir en consultation.
La phase de préalignement dure en général 1 an environ. La rétrognathie, si elle ne pose pas de problème fonctionnel, est une problématique esthétique très relative et c’est la raison pour laquelle on ne propose pas de chirurgie dans le cas d’une mâchoire en retrait chez l’enfant ou l’adolescent, sauf si la demande sur ce point vient du patient.
Bien à vous,
Dr David Issembert
Bonjour,
Jai 29 ans et je vis à Toulouse.
J’ai consulté pour améliorer mon sourire.
J’ai un décalage entre mes 2 mâchoires, la mâchoire du bas est reculé par rapport à celle du haut.
Je sais que dans l’idéal, pour avoir une occlusion parfaite, je dois faire de la chirurgie.
L’orthodontiste que j’ai consulté m’a dit qu’il y avait pas le choix et qu’il ne travaillait pas ainsi.
Je vais être honnête, je suis pas très « chaud » pour faire cette opération.
Je souhaite faire un compromis.
Vu votre article, je pense que vous pouvez m’aider mais vu la distance qui nous sépare, je souhaiterai savoir ce qu’on pouvait faire pour ne pas me déplacer sans raison et surtout ne pas vous faire perdre votre temps.
Bonjour,
Merci de votre message. Nous ne forçons jamais un patient à faire une chirurgie pour des raisons esthétiques, et en général en effet il est possible de faire un traitement dit de « compromis », mais tout dépend des cas, de la situation et de ce qui est souhaité. Il faudrait malgré tout vous voir en consultation si vous passez par Paris, à l’occasion. N’hésitez pas à regarder sur Instagram notre page @orthodontisteparis sur laquelle il y a de nombreux cas, dont certains de « compromis », et à nous contacter par ce biais ou par email si besoin.
Bien cordialement,
Dr David Issembert
Bonjour, pourquoi ne pas avoir traité le cas numéro 2 avec des élastiques pour avancer la mâchoire du bas et ainsi obtenir un emboîtement parfait ? Merci à l’avance
Bonjour,
Les elastiques auraient permis en effet d’avancer le bas s’il y avait eu de la croissance, chez l’enfant ou le jeune adolescent, mais chez l’adulte seule une chirurgie permet d’obtenir cet avancement. Or le patient ne souhaitait pas réaliser de chirurgie, comme indiqué dans l’article.
Bonjour docteur.
J’ai un souci qui dure depuis mon enfance, j’ai la mâchoire inférieur qui est un peu plus étiré que celle supérieur. Du coup ma dentition est pas ditout symétrique et par fois je ressent des douleurs au niveau de la jonction des des mâchoires. J’aimerai que vous m’aidiez à me redonner un beau sourire. Merci beaucoup. Contactez moi s’il vous plaît par mail.
Bonjour,
Merci de votre message. De ce que je lis il y a trois choses :
– une mâchoire du bas plus en avant que celle du haut
– une asymétrie
– des douleurs au niveau de la jonction des mâchoires
Ce sont trois éléments différents, et il faudrait vous voir en consultation afin d’analyser la situation et vous proposer un traitement ortho-chirurgical qui permettra de répondre à votre demande.
Bien cordialement,
Dr Issembert
Bonjour,
Après presque 3 ans de traitement ortho, mon fils a un décalage de 3 dents sur le côté en haut (canine , pré molaire et molaire) qui ne se chevauchent pas bien avec celles du bas. Elles sont sur l’intérieur alors qu’elles devraient être sur l’extérieur. Il n’avait pas ce problème avant. Je précise que l’orthodonthiste lui a fait arracher 2 premolaire en haut car ses dents étaient avancées.
Le praticien avait décidé la fin du traitement mais en insistant pour qu’il termine bien son travail, il me propose de lui écarter les dents avec un écarteur que l’on active.
Ma question est : est il possible de n’écarter que d’un côté car le cote gauche est bien aligné.
Je vous remercie pour votre réponse.
Bonjour,
Merci de votre message. Je n’ai que peu d’informations à vous lire, mais si je comprends bien un articulé croisé est apparu et l’élargissement va permettre d’élargir l’arcade du haut ; si vous élargissez d’un côté mais pas de l’autre il y aura une asymétrie…
Si vous doutez le mieux est sans doute d’aller consulter un orthodontiste (physiquement) afin qu’il puisse vous donner un avis complet.
Bien à vous,
Dr Issembert
Bonjour,
J’ai un problème. Mon orthodontiste a déclaré que ma mâchoire du bas est trop reculé pour procédé seulement avec un appareil dentaire et m’a dit qu’après deux ans de traitement, je devrais faire une intervention chirurgicale, or, je ne vois rien au niveau de mon visage, seulement sur mon sourire (je constate que mes dents du bas sont décalées légèrement vers ma droite). Ceci n’est pas un problème pour moi, je souhaite seulement aligner mes dents, mais est-ce possible que mes dents après appareil dentaire (sans intervention chirurgicale) redeviennent comme avant non alignées ?
Bonjour,
Merci de votre message.
Après la phase de croissance, la modification de la position de la mâchoire ne peut se faire chirurgicalement. Si vos dents sont très en retrait et qu’on ne souhaite pas faire de chirurgie on peut améliorer parfois avec un traitement de compromis qui permette de donner l’impression que les dents sont moins en retrait, ce qui a été fait de ce que je comprends. Les dents bougent naturellement tout au long de la vie, c’est pour ça qu’il est essentiel de les maintenir à l’aide d’une contention adaptée à la suite d’un traitement d’orthodontie (fil+gouttières ou gouttières seules).
Bien à vous,
Dr Issembert
Bonjour,
J’ai suivi un traitement d’orthodontie adulte dans une autre clinique pour combler les espaces de mes deux canines de lait que j’ai dû faire retirer avec mes canines incluses.
La solution adoptée à été de tirer toutes les dents du haut pour qu’elles prennent la place des anciennes canines.
J’ai également fait redresser mes dents de devant qui étaient vers l’intérieur à cause des trop petites canines de lait.
Après le traitement de 3 ans le résultat ne me convient pas du tout. Mes dents du haut à droite se tordent vers l’intérieur de la bouche sur 2mm et les dents de devant sont 1 mm décentré sur la gauche. A cause de cela j’ai une maloclusion qui m’oblige à torde ma machoire vers la gauche et vers l’intérieur pour emboîter mes dents. L’ortodontiste ne sait pas quoi faire pour corriger le problème. Il n’a pas l’air de vouloir continuer et à chaque fois que je lui parle des différents problèmes il minimise.
Je dois pour l’instant porter une gouttière en haut la nuit, la journée les dents bougent toutes rapidement pour essayer de reprendre leurs places d’origine.
Si j’avais su j’aurais mis des implants.
Auriez-vous une idée pour m’aider ?
Merci
Bonjour,
Merci de votre message. Vous pouvez peut-être consulter d’autres orthodontiste pour avoir un avis ? Il est impossible uniquement sur une description de proposer quoi que ce soit malheureureusement.
Bien à vous,
Dr Issembert
Bonjour docteur
J’ai une question: la mâchoire du bas peut elle reculer et le menton devenir plus long à cause d’une malocclusion type 2? Je m’explique j’ai porté des bagues au collège et j’avais après cela il me semble une Bonne occlusion
Mais je n’avais pas fait de kine pour corriger la langue et n’avais pas eu de contention en haut
Mes dents ont donc beaucoup bougé et un écart entre le haut et le bas s’est formé. Ce qui m’étonne beaucoup : mon menton apparaît vraiment comme plus long (moins court) qu après les bagues. Or c’est surtout les dents du haut qui ont avancé. Je ne comprends pas…
Bonjour,
Moi non plus je ne comprends pas.
Le menton étant osseux, si il est plus avancé c’est qu’il y a eu une croissance osseuse.
Les deux éléments dont vous parlez n’ont donc pas de lien.
Bien à vous,
Dr Issembert
Bonjour,
Ma fille âgée de 15 ans suit un traitement orthodontique depuis juillet 2022 et refuse le recours à la chirurgie orthognatique pour corriger sa mâchoire du bas en retrait.
De ce fait, le praticien qui la suit souhaite mettre fin au traitement orthodontique qu’il considère inachevable,
le protocole de contention proposé se limitant au port d’une gouttière à vie.
Il me semble que dans le cas de ma fille la contention est capitale pour maintenir le résultat obtenu et qui la satisfait.
Ne faudrait-il pas combiner le port de la gouttière avec la pose d’un fil de contention ?
Je vous remercie par avance pour votre réponse.
Bien cordialement.
Bonjour,
Merci de votre message. La pose d’un fil de contention impose d’avoir des dents parfaitement alignées, sinon il ne tiendra pas et se cassera. C’est sans doute la raison pour laquelle la gouttières seule est proposée. Celle-ci est parfaitement adaptée au maintien des dents, elle demande à être portée chaque nuit ou au moins très régulièrement. N’étant pas votre orthodontiste et ne connaissant pas plus la situation il m’est difficile de vous conseiller plus avant.
Bien à vous,
Dr Issembert
Bonsoir je trouve ma langue descend plus bas dans la partie inférieure dans ma bouche et la partie supérieur un peut avancer vers lavant est ce qu’il a une traitement pour ça parce que je parle pas mieux je veux savoir si c’est possible pour trouver une résultât pour je suis tromatise
Bonjour, merci de votre message. Il faudrait dans ce cas là consulter un chirurgien maxillo-facial qui pourra vous orienter vers un orthodontiste si besoin
Bien à vous,
Dr Issembert
J’ai difficulté pour parlé mieux quand je suis ouverte ma bouche je voix ma langue descend très bas de la partie inférieure de ma bouche bet la partie supérieur avance est ce que pas possible de faire une opération pour faire revenir normal mon problème
Bonjour, merci de votre message. Il faudrait dans ce cas là consulter un chirurgien maxillo-facial qui pourra vous orienter vers un orthodontiste si besoin
Bien à vous,
Dr Issembert
Bonjour,
J’ai actuellement une malloclusion avec un écart de 4mm ( mâchoire du bas en retrait). J’ai également une légère asymétrie faciale. Cependant le recours à la chirurgie me fait extrêmement peur. Pourrais-je régler juste l’aspect esthétique qui me gêne vraiment (alignement des dents avec bagues puis fils et gouttières de contention à vie )? Je ne me sens vraiment pas de faire l’intervention chirurgicale…
Bien à vous
Bonjour, merci de votre message. Oui, il est possible – sous réserve de valider cela en consultation – de faire l’alignement sans chirurgie. N’hésitez pas à venir en consultation afin de vérifier si vraiment cela répondrait à vos attentes,
Bien à vous,
Dr Issembert
Bonjour, mon fils (15 ans) fait de l’orthodontie et le médecin me parle de chirurgie pour alignement haut et bas. Quel conséquence de ne pas faire cette chirurgie ?
Bonjour,
Merci de votre message.
Soit esthétique (situation très peu esthétique, sourire difficile), soit fonctionnelle (problèmes pour manger…) à question vague, réponse vague, je suis désolé mais n’ayant aucun élément je ne peux pas vous répondre, il a dû vous dire pourquoi il préconisait une chirurgie.
Bien à vous,
Dr Issembert
Bonjour, mon fils (15 ans) fait de l’orthodontie et le médecin me parle de chirurgie pour alignement haut et bas. Quel conséquence de ne pas faire cette chirurgie ?
Bonjour,
Merci de votre message.
Soit esthétique (situation très peu esthétique, sourire difficile), soit fonctionnelle (problèmes pour manger…) à question vague, réponse vague, je suis désolé mais n’ayant aucun élément je ne peux pas vous répondre, il a dû vous dire pourquoi il préconisait une chirurgie.
Bien à vous,
Dr Issembert