Q&A 1/3 : les réponses à vos questions (couronnes, techniques, blanchiment) !
Voici la 3ème et dernière partie des questions les plus fréquemment posées sur notre compte Instagram, cette fois au sujet des traitements orthodontiques en général :
- Quelle technique invisible utiliser pour des dents qu’on aimerait reculer ?
- Un traitement d’orthodontie est-il possible quand on a déjà 3 ou 4 couronnes ?
- Peut-on faire un blanchiment après l’alignement des dents avec un traitement orthodontique ?
- Mon fil de contention s’est cassé, si j’en remets un nouveau est-ce que ça va resserrer mes dents ?
- Combien de temps doit-on conserver le fil de contention après la fin du traitement ?…
Le docteur David Issembert, orthodontiste à Paris spécialiste de de l’orthodontie invisible depuis 2002 (plus de 500 cas Invisalign traités chaque année) apporte les réponses à toutes vos questions.
Cet article est le 3ème et dernier de notre série dédiée aux réponses aux questions que vous nous posez sur notre compte Instagram.
Le 1er portait sur l’aspect administratif d’un traitement orthodontique , le 2ème répondait à vos questions dédiées aux traitements orthodontiques réalisés avec Invisalign.
Sommaire de l’article
N’hésitez pas à cliquer sur les différentes parties ci-dessous pour accéder à la section voulue dans l’article :
Et si vous souhaitez prendre rendez-vous directement sur Doctolib pour une première consultation :
1- Que proposez-vous comme technique invisible pour les dents qu’on aimerait reculer ?
Il existe plusieurs techniques d’orthodontie invisible, et toutes peuvent être utilisées dans le cadre de dents à reculer :
- l’orthodontie linguale : totale, ou mixte avec des bagues externes en céramique en bas (moins visible)
- l’orthodontie par aligneurs transparents Invisalign.

Y a-t-il des techniques invisibles recommandées pour faire reculer des dents ?
Dans certains rares cas de recul qui nécessitent des extractions de pré-molaires, seule l’orthodontie linguale permet de réaliser ce mouvement avec certitude et de façon invisible.
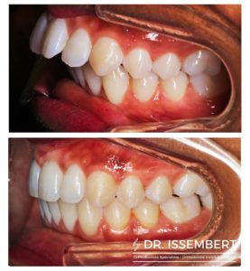
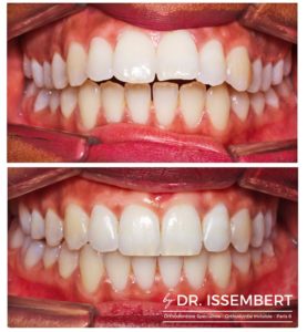
Exemple de recul de dents avec un traitement d’orthodontie invisible
Voici par exemple les photos avant/après d’une patiente traitée en Invisalign avec une intervention de chirurgie maxillo-faciale : on voit bien le recul des dents réalisé entre le début et la fin du traitement.
- Invisalign avant après, vue de profil
- Invisalign avant après, vue de face
2- Est-ce que c’est possible de suivre un traitement d’orthodontie quand on a 3 ou 4 couronnes ?
Oui, bien sûr, il est tout à fait possible de réaliser un traitement d’orthodontie lorsqu’on porte des couronnes : les couronnes n’empêchent pas d’aligner les dents.

traitement avec couronnes
Ainsi, il est tout à fait possible de réaliser un traitement d’orthodontie quand on a des couronnes.

Il n’y a aucune différence à réaliser un traitement d’orthodontie si on a une ou plusieurs couronnes
Si vous vous demandez s’il est différent de réaliser un traitement d’orthodontie quand on a une seule couronne ou quand en on a 4, la réponse est non.
En effet, il sera possible d’aligner vos dents, à l’aide de gouttières Invisalign ou de bagues linguales, et d’obtenir le résultat souhaité malgré les couronnes.
3- Peut-on faire un blanchiment dentaire après l’alignement des dents ?
Oui bien sûr, on peut tout à fait faire un blanchiment dentaire à la fin d’un traitement orthodontique.

Un blanchiment est tout à fait possible après l’alignement des dents avec un traitement orthodontique
Il n’est pas possible de faire un blanchiment dentaire pendant le traitement d’orthodontie car il y aurait la marque des bagues ou des taquets. Mais après le traitement c’est tout à fait possible.

Oui, vous pouvez tout à fait blanchir vos dents à la fin de votre traitement d’orthodontie
Au cabinet d’orthodontie du Docteur Issembert, il est tout à fait possible de réaliser un blanchiment, à l’aide de gouttières réalisées sur mesure, et vous pourrez choisir d’arrêter la teinte de blanchiment au niveau souhaité.
4- Mon fil de contention s’est cassé, si j’en remets un est-ce que ça va resserrer mes dents ?
Le fil de contention est un fil collé sur la face interne des dents, de canine à canine, en haut et en bas. Il permet de maintenir les dents dans leur position au moment du collage, c’est-à-dire dans leur position idéale à la fin du traitement orthodontique.

Mon fil de contention s’est cassé : en remettre un va-t-il resserrer mes dents ?
Ainsi, le fil de contention ne peut pas resserrer les dents : il va simplement maintenir les dents dans leur position.

Le fil de contention est placé sur la face interne des dents à la fin du traitement d’orthodontie, quand les dents sont dans la position optimale
Si les dents ont bougé, une solution : les gouttières de contention
Par contre, si vos dents ont bougé après la casse de votre fil de contention, parce que vous ne l’avez pas fait recoller à temps :
- les dents ne seront alors pas parfaitement alignées
- on ne pourra pas recoller le fil car il se décollerait régulièrement.
Il y a une solution cependant qui vous permettra de maintenir vos dents en position pour éviter qu’elles ne bougent plus : il vous suffit de faire réaliser une gouttière de contention – voir une paire en cas de perte – à porter la nuit, et qui va maintenir vos dents en position.
5- Pour combien de temps doit-on conserver le fil de contention après la fin du traitement ?
Le fil de contention doit être conservé à vie après la fin du traitement.

Combien de temps doit-on garder son fil de contention orthodontique après la fin du traitement ?
En effet, le fil de contention permet de maintenir les dents dans leur position optimale de fin de traitement. Si vous l’enlevez, vos dents peuvent bouger et vous n’aurez pas d’autre solution pour les remettre en position que de refaire un traitement.
Il est très important de ne pas se limiter au fil.
En effet, surtout en haut, le fil peut se casser sans que vous ne vous en rendiez compte. Les dents peuvent alors bouger et, une fois que c’est fait, il faut nécessairement un nouveau traitement orthodontique pour les repositionner.
Double contention à la fin du traitement au cabinet du Dr Issembert
Au cabinet d’orthodontie du docteur Issembert, nous réalisons toujours une double contention à la fin du traitement :
- Un fil de contention de canine à canine sur la face interne des dents en haut et en bas
- Une gouttière de contention en haut et en bas
Cette solution très simple vous permet d’éviter toute mésaventure liée à la casse du fil de contention.
Les gouttières de contention sont réalisées à la fin du traitement, au moment où les dents sont dans leur position optimale. Il vous suffit de les essayer chaque soir, juste pour vérifier que vos dents n’ont pas bougé.
Si vous sentez une tension, alors gardez-les ! Cela voudra dire que vos dents bougent et donc que votre fil s’est cassé. Gardez bien vos gouttières, qui maintiendront vos dents dans la position de fin de traitement, et prenez rendez-vous chez votre orthodontiste au plus vite afin qu’il fasse le nécessaire !
Les gouttières de contention : très proches des gouttières Invisalign
Les gouttières de contention ressemblent beaucoup aux gouttières Invisalign. A cette différence près qu’elles n’ont pas pour objectif de bouger vos dents d’une part, et qu’elles sont réalisées précisément à partir de l’empreinte de fin de traitement.

Les gouttières de contention ressemblent beaucoup aux gouttières Invisalign
6- Peut-on commencer un traitement si on est enceinte ?
Oui ! Il n’y a pas de contre-indication à commencer un traitement orthodontique lorsqu’on attend un heureux événement.

Commencer un traitement d’orthodontie si on est enceinte, est-ce possible ? Oui !
Certaines précautions devront être prises pour la réalisation des radiographies avec un tablier de plomb, mais c’est très classique et nous avons de nombreuses patientes enceintes pendant leur traitement.

Enceinte grossesse et orthodontie
Si vous souhaitez en savoir plus sur l’orthodontie chez la femme enceinte, n’hésitez pas à aller consulter cet article dédié à l’orthodontie pendant la grossesse.
Voilà pour la dernière partie des questions posées sur Intagram, cette fois-ci concernant les traitements orthodontiques en général. N’hésitez pas à nous contacter au 01 73 79 29 08 pour plus d’informations, ou à prendre rendez-vous directement sur Doctolib pour une première consultation :
Les horaires d’ouverture du cabinet d’orthodontie sont les suivants :
- de 8h30 à 19h30 du Lundi au vendredi
- mais aussi le Samedi
Par Cabinet d'Orthodontie,le 25 février 2021


