Guide sur les dents du bonheur (espace interincisif)
Les dents du bonheur, vous connaissez ? Un très joli nom pour désigner un espace entre les dents ou diastème inter-incisif.
Autant certains vont trouver que cela ajoute à leur charme fou et l’utilisent comme arme de séduction, autant d’autres auront envie de trouver une solution pour resserrer cet intervalle entre les dents.
Toutes les explications sur les Dents du Bonheur et la manière de les traiter par le Docteur David Issembert, orthodontiste à Paris 8ème.
N’hésitez pas à cliquer sur les différentes parties ci-dessous afin d’accéder à la section voulue dans l’article :
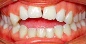
Le diastème interincisif ou dents du bonheur, qu’est-ce que c’est ?
On parle de diastème pour désigner un espace entre des dents. Ces espaces peuvent être situés n’importe où dans la bouche, et peuvent être plus ou moins nombreux.
Lorsqu’on observe un espace très marqué entre les deux incisives supérieures, on parle de « dents du bonheur » ou diastème interincisif.
Cette situation touche aussi bien les adultes que les enfants. Chez les enfants, l’approche sera différente car les espaces peuvent disparaître lorsque les dents permanentes se mettent à pousser.

Chez Vanessa Paradis, les dents de bonheur sont un signe distinctif que l’on considère plutôt comme esthétique et charmant (mais tous les goûts sont dans la nature)
Si certains diastèmes interincisifs sont à peine perceptibles, d’autres sont plus importants et peuvent s’accentuer avec l’âge et s’accompagner d’autres malpositions comme des dents en avant par exemple.
Même si ce n’est pas systématiquement le cas, ces espaces entre les « 2 dents de devant » posent un problème esthétique majeur pour de nombreux patients qui viennent nous voir en consultation.
Souvent accompagné d’autres malpositions dentaires
Comme la plupart des problèmes orthodontiques, les dents du bonheur sont souvent associées à d’autres malpositions ou malocclusions dentaires.
Parmi celles-ci, les plus courantes sont les dents très en avant, la projection accentuant l’écartement ou des espaces inter-dentaires multiples.

Photo avant/après traitement Invisalign First chez un enfant présentant une béance et plusieurs diastèmes
En termes de malocclusions, les dents du bonheur peuvent être associées à une béance, les deux pouvant être créés ou accentués par la succion du pouce enfant (voir ci-dessus les photos avant et après traitement orthodontique Invisalign First chez un enfant présentant une béance et plusieurs diastèmes).
Est-ce que les dents du bonheur s’accentuent avec l’âge ?
Au cours de la vie, les dents peuvent bouger à n’importe quel moment, sans que l’on puisse prédire comment ni pourquoi certains mouvements se réalisent. Cela arrive notamment :
- en cas de traumatisme
- de maladie parodontale, de nécrose pulpaire et d’infections péri-apicales
- de changements hormonaux importants…
Dans le cas des dents du bonheur, l’espace peut en effet s’accentuer avec l’âge, en raison des mouvements des dents, de leur projection ou de leur espacement plus marqué.
Une des raisons pour laquelle les espaces peuvent s’accentuer avec l’âge est liée à l’hygiène bucco-dentaire.
Avec l’âge, les maladies des gencives et de l’os sous-jacent – le parodonte – peuvent se développer, affaiblissant l’implantation des dents. Sous l’influence du tabac par exemple, les tissus peuvent aussi s’abîmer, tout cela favorisant des mouvements dentaires déjà démarrés.
Une bonne hygiène dentaire est donc nécessaire, ainsi qu’un suivi régulier chez votre dentiste pour pouvoir intervenir au plus vite en cas d’inflammation.
Est-il possible de conserver quand même un peu les dents du bonheur ?
Oui bien sûr ! Bien que la plupart des patients souhaitent faire disparaître cet espace entre les dents, certains souhaitent le conserver ou juste le réduire.
Il est possible de conserver les dents du bonheur tout en corrigeant des malpositions des dents en avant. En revanche, le fait d’avoir des dents encore légèrement écartées ne permet pas de mettre un fil de contention, qui sinon serait visible.
Pour maintenir les situations de fin de traitement, il faudra donc porter des gouttières de contention à vie toutes les nuits, au moins sur l’arcade du haut. C’est donc une contrainte dont le patient doit être informé à l’avance.
N’hésitez pas à nous contacter au 01 73 79 29 08 pour plus d’informations ou à prendre rendez-vous directement sur Doctolib pour une consultation avec le Dr Issembert :
Pourquoi ai-je les dents du bonheur ?
Il y a plusieurs facteurs qui peuvent être à l’origine du diastème inter-incisif. Certaines de ces causes sont d’origine génétique, d’autres sont liées à des habitudes ou à des maladies (comme une gingivite par exemple).
Voici les principales causes à l’origine des dents du bonheur :
La microdontie (d’origine génétique)
La microdontie peut expliquer l’apparition des dents du bonheur : une ou plusieurs dents sont de taille anormalement petite par rapport aux autres dents.
Le diastème peut se former lorsque toutes les dents ne suffisent pas à remplir l’espace disponible sur l’arcade. Dans ce cas, il y a souvent plusieurs espaces entre les dents, à différents endroits.
Dans ce cas-là, le diastème est d’origine génétique puisqu’il s’agit d’une anomalie héréditaire.
Le développement excessif du frein labial
Le développement excessif d’un muscle, le frein labial, entre les incisives. Ce développement provoque une séparation entre ces dents, ce qui entraîne un espace.
Les problèmes de gencive
Les problèmes de gencive peuvent expliquer l’apparition de diastèmes.
Par exemple, dans le cas d’une maladie des gencives, l’os peut se réduire, rendant les dents moins stables. Dans ce cas, les incisives peuvent bouger et laisser apparaître un espace.
Les mauvaises habitudes
Certaines mauvaises habitudes peuvent également favoriser l’apparition d’un espace entre les dents. Les enfants ou les adultes qui sucent leur pouce peuvent former un espace car le mouvement de succion exerce une pression sur les dents de devant, ce qui les fait avancer et favorise l’apparition d’un espace, souvent associé à une béance.
Quel appareil orthodontique pour corriger les espace inter-incisifs ?
Alors, quel traitement d’orthodontie sera le plus adapté pour corriger cet espacement entre les 2 incisives ?
Cette question revient souvent en consultation. La réponse varie selon chaque patient, car chaque situation demande une analyse et un échange spécifiques.
Certains cas très rares qui nécessitent des extractions de prémolaires avec recul ne peuvent être traités qu’avec des bagues linguales, qui permettent d’exercer certaines forces orthodontiques. Mais dans la plupart des cas, tous les traitements orthodontiques à disposition permettent de fermer le ou les espaces inter-dentaires :
- Bagues apparentes, en céramiques très discrètes ou en traitement lingual,
- gouttières d’alignement Invisalign
Lors de la première consultation, l’orthodontiste analyse la situation et présente les différentes options de traitement, ainsi que les techniques qu’on peut utiliser. Chacune a ses spécificités.
Dans son cabinet à Paris, le Dr Issembert reçoit de nombreux patients adultes pour qui la priorité est d’avoir un traitement discret voire invisible. Dans ce cas-là, le Dr Issembert va proposer au patient de réaliser un traitement avec des gouttières transparentes comme Invisalign, qui sont très faciles d’usage. Il est aussi possible d’avoir des bagues linguales ou en céramique.
Déroulement du traitement d’orthodontie pour les dents du bonheur ?
Les traitements d’orthodontie pour les dents du bonheur se déroulent en plusieurs étapes clef, à l’instar des traitements orthodontiques pour tous les autres types de cas traités en orthodontie.
- La première consultation d’orthodontie : l’orthodontiste va analyser la situation de vos dents et vous proposer un ou plusieurs types de traitement, avec une estimation de durée.
- Le rendez-vous d’empreintes :RDV d’environ 30 minutes pour réaliser empreintes, photos et radiographies (qui peut avoir lieu le jour même de la consultation). Il permet d’obtenir toutes informations pour planifier l’évolution du traitement et anticiper les mouvements afin de préparer l’appareil orthodontique.
- Le rendez-vous de pose : il dure entre 1 et 2 heures. A l’issue de ce rendez-vous, la phase active du traitement commence.
- Les rendez-vous de suivi : RDV réguliers en cours de traitement
- La contention : la phase passive du traitement qui permet de stabiliser les dents en fin de traitement et d’éviter toute récidive. Elle s’accompagne de la pose de fils de contention en haut et en bas (accompagnés de gouttières de contention si le fil se cassait).
Plus d’infos sur les 5 étapes d’un traitement d’orthodontie-type.
2 exemples de traitements Invisalign pour corriger le diastème inter-incisif par le Dr Issembert à Paris
Voici l’exemple de 2 patients dont les dents du bonheur ont été traitées à l’aide de gouttières Invisalign.
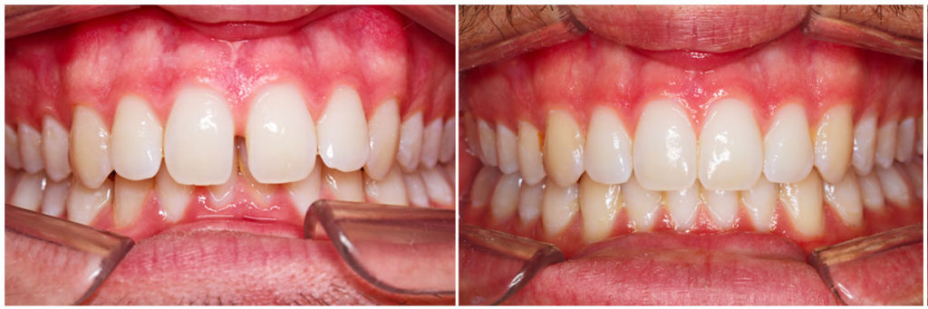
Exemple 1 : Dents du bonheur avant/après traitement Invisalign

Ce patient est venu consulter le Dr Issembert pour corriger cet espace inter-incisif qui l’empêchait de sourire normalement
Lors de sa première consultation, ce est venu au cabinet afin de traiter précisément son espace inter-incisif, qui le gênait depuis longtemps. Il s’empêchait de sourire et ne supportait plus cet espace.
L’examen clinique et radiologique a également révélé :
- des défauts d’alignement,
- un surplomb,
- et un recouvrement très important des dents du bas par les dents du haut.
Lors de la consultation, le Docteur Issembert a retenu comme plan de traitement un alignement avec des gouttières Invisalign, une fermeture de l’espace inter-incisif ainsi que la remontée des dents du haut pour réduire le recouvrement.

Photos avant et après traitement Invisalign et correction des « dents du bonheur » de ce patient
La durée totale du traitement a été de 15 mois.
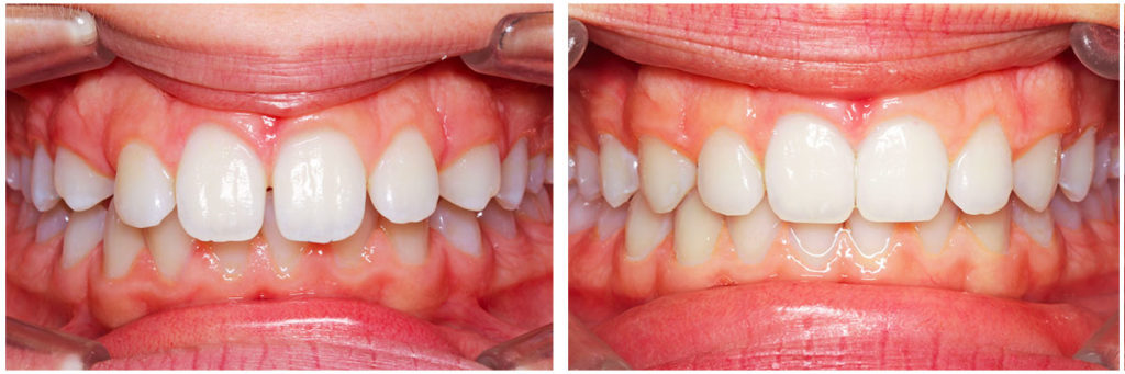
Exemple 2 : Espace inter-incisif supprimé à l’aide d’un traitement Invisalign
Cette patiente est venue au cabinet du Dr Issembert à Paris en consultation avec pour objectif de corriger ses défauts d’alignement et les espaces entre les dents.

Cette patiente présente des défauts d’alignement ainsi que des diastèmes (notamment un diastème inter-incisif, ainsi qu’un légère asymétrie mandibulaire
Elle était très gênée par ces espaces, qui avaient tendance à s’accentuer dans le temps.
L’examen clinique et radiologique a confirmé le motif de consultation et ont également révélé une légère asymétrie mandibulaire.

Jeune patiente avant et après traitement Invisalign afin de resserrer ses « dents du bonheur »
A la suite de l’étude de son cas, un traitement avec des aligneurs Invisalign avec ingression des blocs incisifs a été proposé à cette patiente. Le traitement a duré 22 mois.
Des fils de contention rigide ont été disposés en haut et en bas de canine à canine sur les surfaces linguales. Des gouttières de contention de sécurité ont également été réalisées.
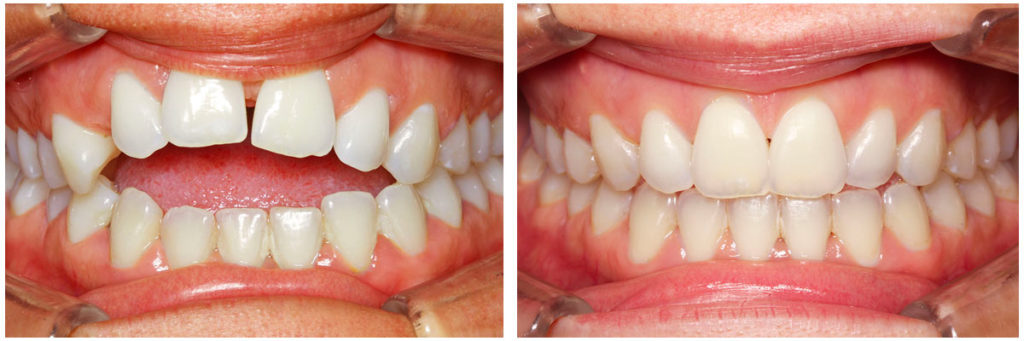
L’orthodontie linguale pour resserrer les dents du bonheur
Cette patiente est venue consulter le Dr Issembert au cabinet d’orthodontie car elle était gênée par différentes problématiques : un espace inter-incisif, la courbe du sourire inversée et la béance.

Problématiques à traiter : espace inter-incisif, courbe du sourire inversée et béance
L’examen clinique et radiologique ont révélé une béance essentiellement liée au pouce (liée à de mauvaises habitudes et non à une origine génétique).
Nous avons décidé en accord avec la patiente de partir sur un traitement avec des bagues linguales en haut (totalement invisibles) et externes en céramique en bas, avec des élastiques inter-maxillaires.
Photos avant-après traitement en orthodontie linguale d’un espace inter-incisif

Chez cette patiente, les dents du bonheur ont été corrigées à l’aide d’un appareil orthodontique en lingual en haut et des bagues externes en céramique en bas
La durée totale de traitement a été de 20 mois. Des fils de contentions rigides ont été disposés en haut et en bas de canine à canine sur les surfaces linguales en fin de traitement afin de garantir le résultat final. Des gouttières de contention de sécurité ont également été réalisées.
Vous avez les dents du bonheur et souhaitez l’avis d’un orthodontiste à ce sujet ? N’hésitez pas à nous contacter au 01 73 79 29 08 ou à prendre rendez-vous directement sur Doctolib :
Par Cabinet d'Orthodontie,le 30 octobre 2021






